You have no items in your shopping cart.
ALK Antibody
Description
Research Area
Images & Validation
−| Tested Applications | IHC |
|---|---|
| Reactivity | Human |
Key Properties
−| Antibody Type | Recombinant Antibody |
|---|---|
| Host | Rabbit |
| Clonality | Monoclonal |
| Isotype | IgG |
| Clone No. | ALK1/7008R |
| Immunogen | Recombinant human ALK protein fragment corresponding to the cytoplasmic domain |
| Target | ALK |
| Source/Expression System | HEK293 cells |
| Molecular Weight | 80kDa (hybrid); 200kDa (wild type) |
| Conjugation | Unconjugated |
Storage & Handling
−| Storage | Maintain refrigerated at 2-8°C for up to 2 weeks. For long term storage store at -20°C in small aliquots to prevent freeze-thaw cycles. |
|---|---|
| Form/Appearance | 200ug/ml of Ab purified from Bioreactor Concentrate by Protein A/G. Prepared in 10mM PBS with 0.05% rAlbumin & 0.05% azide. Also available WITHOUT rAlbumin & azide at 1.0mg/ml. |
| Expiration Date | 12 months from date of receipt. |
| Disclaimer | For research use only |
Alternative Names
−Similar Products
−ACVRL1 Rabbit Polyclonal Antibody [orb1974726]
IF, IHC-Fr, IHC-P
Canine, Equine, Porcine
Human, Mouse, Rat
Rabbit
Polyclonal
Unconjugated
50 μl, 100 μl, 200 μlBMPR1B Rabbit pAb [orb48291]
ELISA, IF, IHC-P, WB
Human, Mouse, Rat
Rabbit
Polyclonal
Unconjugated
MSN Antibody [orb388445]
FC, IF, IHC, WB
Human, Rat
Mouse
Monoclonal
Unconjugated
20 μg, 100 μg, 100 μg (without BSA and Azide)BMPR1A Rabbit Polyclonal Antibody [orb10197]
FC, IF, IHC-Fr, IHC-P, WB
Mouse
Human, Rat
Rabbit
Polyclonal
Unconjugated
100 μl, 200 μl, 50 μlALK-1/ACVRL1/ALK Rabbit Polyclonal Antibody [orb745936]
ELISA, FC, IHC, WB
Human, Mouse, Rat
Rabbit
Polyclonal
Unconjugated
100 μg

Quality Guarantee
Explore bioreagents carefree to elevate your research. All our products are rigorously tested for performance. If a product does not perform as described on its datasheet, our scientific support team will provide expert troubleshooting, a prompt replacement, or a refund. For full details, please see our Terms & Conditions and Buying Guide. Contact us at [email protected].

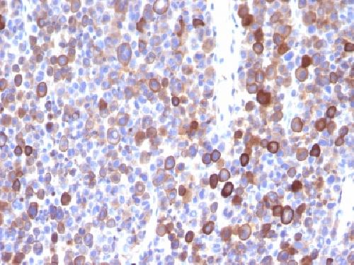
Formalin-fixed, paraffin-embedded human Anaplastic Large Cell Lymphoma stained with ALK1 Recombinant Rabbit Monoclonal Antibody (ALK1/7008R).

Formalin-fixed, paraffin-embedded human inflammatory myofibroblastic tumor (IMT) with ALK fusion stained with ALK1/7008R.

SDS-PAGE Analysis of Purified ALK1 Recombinant Rabbit Monoclonal Antibody (ALK1/7008R). Confirmation of Purity and Integrity of Antibody.
Quick Database Links
UniProt Details
−Documents Download
Request a Document
ALK Antibody (orb1410544)
Participating in our Biorbyt product reviews program enables you to support fellow scientists by sharing your firsthand experience with our products.
Login to Submit a Review






























