You have no items in your shopping cart.
MVP Antibody
Description
Research Area
Images & Validation
−| Tested Applications | IHC, WB |
|---|---|
| Reactivity | Human |
Key Properties
−| Antibody Type | Recombinant Antibody |
|---|---|
| Host | Mouse |
| Clonality | Monoclonal |
| Isotype | IgG1 |
| Clone No. | r1032 |
| Immunogen | Proteins precipitated from human breast cancer MCF-7 cells |
| Target | MVP |
| Source/Expression System | HEK293 cells |
| Molecular Weight | 104-110kDa |
| Conjugation | Unconjugated |
Storage & Handling
−| Storage | Maintain refrigerated at 2-8°C for up to 2 weeks. For long term storage store at -20°C in small aliquots to prevent freeze-thaw cycles. |
|---|---|
| Form/Appearance | 200ug/ml of Ab purified from Bioreactor Concentrate by Protein A/G. Prepared in 10mM PBS with 0.05% rAlbumin & 0.05% azide. Also available WITHOUT rAlbumin & azide at 1.0mg/ml. |
| Expiration Date | 12 months from date of receipt. |
| Disclaimer | For research use only |
Alternative Names
−Similar Products
−MVP Mouse Monoclonal Antibody [orb610911]
FC, ICC, IF, IHC, WB
Human, Mouse, Rat
Mouse
Monoclonal
Unconjugated
100 μgMVP Rabbit Polyclonal Antibody [orb413009]
ELISA, FC, ICC, IF, IHC, IHC-Fr, WB
Human, Mouse, Rat
Rabbit
Polyclonal
Unconjugated
100 μg

Quality Guarantee
Explore bioreagents carefree to elevate your research. All our products are rigorously tested for performance. If a product does not perform as described on its datasheet, our scientific support team will provide expert troubleshooting, a prompt replacement, or a refund. For full details, please see our Terms & Conditions and Buying Guide. Contact us at [email protected].

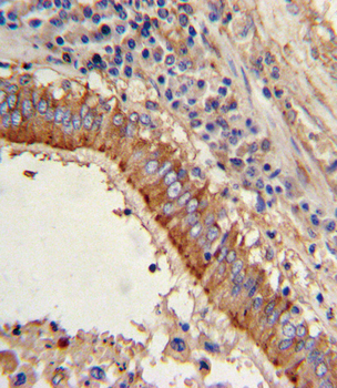
Formalin-fixed, paraffin-embedded human prostate stained with MVP Recombinant Mouse Monoclonal Antibody (r1032).

SDS-PAGE Analysis of Purified MVP Recombinant Mouse Monoclonal Antibody (r1032). Confirmation of Purity and Integrity of Antibody.

Western blot analysis of U-87, A549 & SK-BR3 cell lysate using MVP Recombinant Mouse Monoclonal Antibody (r1032).
Quick Database Links
UniProt Details
−Documents Download
Request a Document
Protocol Information
MVP Antibody (orb2309911)
Participating in our Biorbyt product reviews program enables you to support fellow scientists by sharing your firsthand experience with our products.
Login to Submit a Review




























