You have no items in your shopping cart.
MTAP Antibody
Description
Research Area
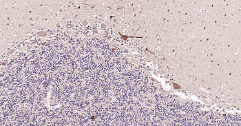
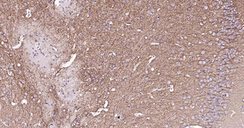
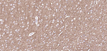
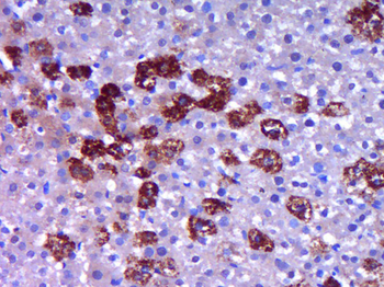
Images & Validation
−
| Tested Applications | ELISA, IHC, WB |
|---|---|
| Dilution Range | ELISA: 2-4 μg/ml, WB: 0.5-2 μg/ml, IHC-P: 1-2 μg/ml for 30 minutes at RT |
| Reactivity | Guinea pig, Hamster, Human, Mouse, Rabbit, Rat |
Key Properties
−| Antibody Type | Recombinant Antibody |
|---|---|
| Host | Rabbit |
| Clonality | Monoclonal |
| Isotype | IgG |
| Clone No. | MTAP/3137R |
| Immunogen | Recombinant human MTAP protein fragment (aa97-196) (exact sequence is proprietary) |
| Target | MTAP |
| Source/Expression System | HEK293 cells |
| Molecular Weight | 31kDa |
| Conjugation | Unconjugated |
Storage & Handling
−| Storage | Maintain refrigerated at 2-8°C for up to 2 weeks. For long term storage store at -20°C in small aliquots to prevent freeze-thaw cycles. |
|---|---|
| Form/Appearance | 200ug/ml of Ab Purified from Bioreactor Concentrate by Protein A/G. Prepared in 10mM PBS with 0.05% rAlbumin & 0.05% azide. Also available WITHOUT rAlbumin & azide at 1.0mg/ml. |
| Expiration Date | 12 months from date of receipt. |
| Disclaimer | For research use only |
Alternative Names
−Similar Products
−MAP2 Rabbit Polyclonal Antibody [orb11455]
FC, IF, IHC-Fr, IHC-P, WB
Mouse, Rat
Human, Mouse, Rat
Rabbit
Polyclonal
Unconjugated
100 μl, 50 μl, 200 μlMAP2 Rabbit Polyclonal Antibody [orb2563446]
IF, IHC-Fr, IHC-P
Mouse, Rat
Human, Mouse, Rat
Rabbit
Polyclonal
Unconjugated
50 μl, 100 μlMAP1A Rabbit Polyclonal Antibody [orb13706]
FC, IF, IHC-Fr, IHC-P
Bovine, Canine, Equine, Gallus, Mouse, Porcine
Human, Rat
Rabbit
Polyclonal
Unconjugated
50 μl, 100 μl, 200 μlHuman Methylthioadenosine Phosphorylase (MTAP) ELISA Kit [orb778005]
Human
0.16-10 ng/mL
0.062 ng/mL
48 T, 96 TMouse Methylthioadenosine Phosphorylase (MTAP) ELISA Kit [orb780964]
Mouse
0.16-10 ng/mL
0.056 ng/mL
96 T, 48 T

Quality Guarantee
Explore bioreagents carefree to elevate your research. All our products are rigorously tested for performance. If a product does not perform as described on its datasheet, our scientific support team will provide expert troubleshooting, a prompt replacement, or a refund. For full details, please see our Terms & Conditions and Buying Guide. Contact us at [email protected].
Quick Database Links
UniProt Details
−Documents Download
Request a Document
Protocol Information
MTAP Antibody (orb534762)
Participating in our Biorbyt product reviews program enables you to support fellow scientists by sharing your firsthand experience with our products.
Login to Submit a Review

















