You have no items in your shopping cart.
Reelin Rabbit Polyclonal Antibody
Description
Research Area
Images & Validation
−| Tested Applications | IF, IHC-Fr, IHC-P |
|---|---|
| Dilution range | IHC-P=1:100-500, IHC-F=1:100-500, IF=1:100-500 |
| Reactivity | Mouse |
| Predicted Reactivity | Canine, Equine, Gallus, Guinea pig, Human, Porcine, Rat |
Related Conjugates & Formulations
−Key Properties
−| Antibody Type | Primary Antibody |
|---|---|
| Host | Rabbit |
| Clonality | Polyclonal |
| Isotype | IgG |
| Immunogen | KLH conjugated synthetic peptide derived from human RELN (3345-3458/3458aa) |
| Target | RELN |
| Molecular Weight | 400-450;300;180- kDa |
| Purification | Affinity purified by Protein A |
| Conjugation | Unconjugated |
Storage & Handling
−| Storage | Maintain refrigerated at 2-8°C for up to 2 weeks. For long term storage store at -20°C in small aliquots to prevent freeze-thaw cycles. |
|---|---|
| Form/Appearance | Liquid |
| Buffer/Preservatives | 0.01M TBS (pH7.4) with 1% rAlbumin, 0.02% Proclin300 and 50% Glycerol. |
| Concentration | 1mg/ml |
| Disclaimer | For research use only |
Alternative Names
−Similar Products
−Dab1 Rabbit Polyclonal Antibody [orb559649]
IF, IHC-Fr, IHC-P
Bovine, Canine, Equine, Gallus, Human, Porcine, Rabbit, Rat, Sheep
Mouse
Rabbit
Polyclonal
Unconjugated
50 μl, 100 μl, 200 μlPhospho-Dab1 (Ser491) Rabbit Polyclonal Antibody [orb5956]
IF, IHC-Fr, IHC-P, WB
Bovine, Canine, Equine, Gallus, Rabbit, Rat, Sheep
Human, Mouse
Rabbit
Polyclonal
Unconjugated
50 μl, 100 μl, 200 μlPhospho-Dab1 (Tyr220) Rabbit Polyclonal Antibody [orb5954]
IF, IHC-Fr, IHC-P
Bovine, Canine, Gallus, Human, Mouse, Porcine, Rabbit
Rat
Rabbit
Polyclonal
Unconjugated
100 μl, 50 μl, 200 μlPhospho-Dab1 (Tyr232) Rabbit Polyclonal Antibody [orb5955]
WB
Bovine, Canine, Equine, Gallus, Mouse, Porcine, Rat
Human
Rabbit
Polyclonal
Unconjugated
100 μl, 200 μl, 50 μlPhospho-Dab1 (Tyr220) Rabbit Polyclonal Antibody (PE) [orb505618]
IF
Bovine, Canine, Gallus, Human, Mouse, Porcine, Rabbit
Rat
Rabbit
Polyclonal
PE
100 μl

Quality Guarantee
Explore bioreagents carefree to elevate your research. All our products are rigorously tested for performance. If a product does not perform as described on its datasheet, our scientific support team will provide expert troubleshooting, a prompt replacement, or a refund. For full details, please see our Terms & Conditions and Buying Guide. Contact us at [email protected].

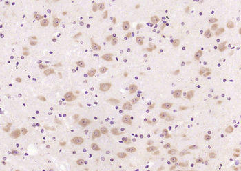
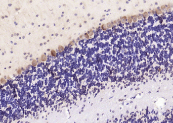
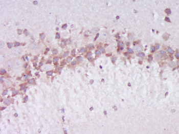
Paraformaldehyde-fixed, paraffin embedded (Mouse brain), Antigen retrieval by boiling in sodium citrate buffer (pH6.0) for 15 min, Block endogenous peroxidase by 3% hydrogen peroxide for 20 minutes, Blocking buffer (normal goat serum) at 37°C for 30 min, Antibody incubation with (Reelin) Polyclonal Antibody, Unconjugated (orb221867) at 1:500 overnight at 4°C, followed by a conjugated secondary for 20 minutes and DAB staining.
Quick Database Links
UniProt Details
−Documents Download
Request a Document
Protocol Information
Reelin Rabbit Polyclonal Antibody (orb221867)
Participating in our Biorbyt product reviews program enables you to support fellow scientists by sharing your firsthand experience with our products.
Login to Submit a Review





