You have no items in your shopping cart.
RELB Rabbit Polyclonal Antibody
Description
Research Area
Images & Validation
−| Tested Applications | IHC, WB |
|---|---|
| Reactivity | Human |
| Predicted Reactivity | Canine, Guinea pig |
Key Properties
−| Host | Rabbit |
|---|---|
| Clonality | Polyclonal |
| Immunogen | The immunogen is a synthetic peptide directed towards the N terminal region of human RELB |
| Target | RELB |
| Protein Sequence | Synthetic peptide located within the following region: LRSGPASGPSVPTGRAMPSRRVARPPAAPELGALGSPDLSSLSLAVSRST |
| Molecular Weight | 62kDa |
| Purification | Affinity Purified |
| Conjugation | Unconjugated |
Storage & Handling
−| Storage | Maintain refrigerated at 2-8°C for up to 2 weeks. For long term storage store at -20°C in small aliquots to prevent freeze-thaw cycles. |
|---|---|
| Buffer/Preservatives | Liquid. Purified antibody supplied in 1x PBS buffer with 0.09% (w/v) sodium azide and 2% sucrose. |
| Concentration | 0.5 mg/ml |
| Expiration Date | 12 months from date of receipt. |
| Disclaimer | For research use only |
Alternative Names
−Similar Products
−RelB Rabbit Polyclonal Antibody [orb6870]
IF, IHC-Fr, IHC-P, WB
Rabbit
Human, Mouse, Rat
Rabbit
Polyclonal
Unconjugated
50 μl, 100 μl, 200 μlRelB Rabbit Polyclonal Antibody [orb4793]
FC, IF, IHC-Fr, IHC-P, WB
Bovine, Canine, Equine, Porcine, Rat
Human, Mouse
Rabbit
Polyclonal
Unconjugated
200 μl, 50 μl, 100 μlRELB Rabbit Polyclonal Antibody [orb630625]
ELISA, IF, IHC, IP, WB
Human
Rabbit
Polyclonal
Unconjugated
50 μg, 100 μgRELB Rabbit Polyclonal Antibody [orb329942]
WB
Bovine, Canine, Human, Rat
Mouse
Rabbit
Polyclonal
Unconjugated
100 μl

Quality Guarantee
Explore bioreagents carefree to elevate your research. All our products are rigorously tested for performance. If a product does not perform as described on its datasheet, our scientific support team will provide expert troubleshooting, a prompt replacement, or a refund. For full details, please see our Terms & Conditions and Buying Guide. Contact us at [email protected].

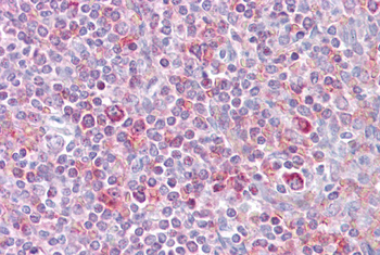
Immunohistochemistry with Spleen tissue at an antibody concentration of 5 ug/mL using anti-RELB antibody (orb330018).

WB Suggested Anti-RELB Antibody Titration: 0.2-1 ug/mL, ELISA Titer: 1:62500, Positive Control: Human brain.
Documents Download
Request a Document
Protocol Information
RELB Rabbit Polyclonal Antibody (orb330018)
Participating in our Biorbyt product reviews program enables you to support fellow scientists by sharing your firsthand experience with our products.
Login to Submit a Review



















