You have no items in your shopping cart.
RPL13 Rabbit Polyclonal Antibody
Description
Research Area
Images & Validation
−| Tested Applications | IHC, WB |
|---|---|
| Reactivity | Human |
| Predicted Reactivity | Bovine, Canine, Equine, Guinea pig, Mouse, Rabbit, Rat, Zebrafish |
Key Properties
−| Host | Rabbit |
|---|---|
| Clonality | Polyclonal |
| Immunogen | The immunogen is a synthetic peptide directed towards the C terminal region of human RPL13 |
| Target | RPL13 |
| Protein Sequence | Synthetic peptide located within the following region: KKEKARVITEEEKNFKAFASLRMARANARLFGIRAKRAKEAAEQDVEKKK |
| Molecular Weight | 24kDa |
| Purification | Affinity Purified |
| Conjugation | Unconjugated |
Storage & Handling
−| Storage | Maintain refrigerated at 2-8°C for up to 2 weeks. For long term storage store at -20°C in small aliquots to prevent freeze-thaw cycles. |
|---|---|
| Buffer/Preservatives | Liquid. Purified antibody supplied in 1x PBS buffer with 0.09% (w/v) sodium azide and 2% sucrose. |
| Concentration | 0.5 mg/ml |
| Expiration Date | 12 months from date of receipt. |
| Disclaimer | For research use only |
Alternative Names
−Similar Products
−RPL13 Rabbit Polyclonal Antibody [orb341158]
IF, IHC, WB
Human, Mouse, Rat
Rabbit
Polyclonal
Unconjugated
50 μl, 100 μl, 200 μl, 30 μlRPL13 Rabbit Polyclonal Antibody [orb630785]
ELISA, IHC, WB
Human, Mouse, Rat
Rabbit
Polyclonal
Unconjugated
50 μg, 100 μgMRPL13 Rabbit Polyclonal Antibody [orb582575]
WB
Bovine, Canine, Equine, Guinea pig, Mouse, Porcine, Rabbit, Rat, Zebrafish
Human
Rabbit
Polyclonal
Unconjugated
100 μlMRPL13 Rabbit Polyclonal Antibody [orb185243]
IF, IHC-Fr, IHC-P
Bovine, Canine, Equine, Gallus, Human, Porcine, Rabbit, Rat, Sheep
Mouse
Rabbit
Polyclonal
Unconjugated
100 μl, 200 μl, 50 μlRPL13 Rabbit Polyclonal Antibody [orb577493]
WB
Bovine, Canine, Equine, Guinea pig, Mouse, Rabbit, Rat, Zebrafish
Human
Rabbit
Polyclonal
Unconjugated
100 μl

Quality Guarantee
Explore bioreagents carefree to elevate your research. All our products are rigorously tested for performance. If a product does not perform as described on its datasheet, our scientific support team will provide expert troubleshooting, a prompt replacement, or a refund. For full details, please see our Terms & Conditions and Buying Guide. Contact us at [email protected].

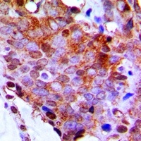
Sample Tissue: Human Fetal Lung, Antibody Dilution: 1.0 ug/ml.

Sample Tissue: Human THP-1 Whole Cell, Antibody Dilution: 1 ug/ml.

Sample Type: 293T, Antibody Dilution: 1.0 ug/ml. RPL13 is strongly supported by BioGPS gene expression data to be expressed in Human HEK293T cells.

Sample Type: Hela, Antibody Dilution: 1.0 ug/ml. There is BioGPS gene expression data showing that RPL13 is expressed in HeLa.

Sample Type: Human Fetal Liver, Antibody Dilution: 1.0 ug/ml.

Sample Type: MCF7, Antibody Dilution: 1.0 ug/ml. RPL13 is strongly supported by BioGPS gene expression data to be expressed in MCF7.

Rabbit Anti-RPL13 Antibody, Catalog Number: orb577492, Formalin Fixed Paraffin Embedded Tissue: Human Lung Tissue, Observed Staining: Cytoplasmic in alveolar mostly type I cells, Primary Antibody Concentration: 1:100, Other Working Concentrations: 1/600, Secondary Antibody: Donkey anti-Rabbit-Cy3, Secondary Antibody Concentration: 1:200, Magnification: 20X, Exposure Time: 0.5-2.0 sec.

WB Suggested Anti-RPL13 Antibody Titration: 0.0625 ug/ml, ELISA Titer: 1:62500, Positive Control: Jurkat cell lysate.
Documents Download
Request a Document
Protocol Information
RPL13 Rabbit Polyclonal Antibody (orb577492)
Participating in our Biorbyt product reviews program enables you to support fellow scientists by sharing your firsthand experience with our products.
Login to Submit a Review






