You have no items in your shopping cart.
SAA4 Antibody
SKU: orb674405
Description
Research Area
Cardiovascular Research
Images & Validation
−
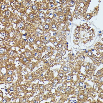
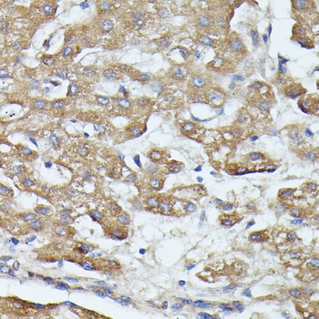
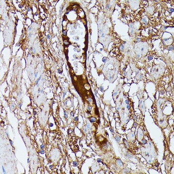
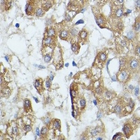
| Tested Applications | ELISA, IHC |
|---|---|
| Dilution Range | IHC-P: 1:100-1:300, IHC-P: 1:200-1:1000, ELISA: 1:40000 |
| Reactivity | Human |
Key Properties
−| Host | Rabbit |
|---|---|
| Clonality | Polyclonal |
| Isotype | IgG |
| Immunogen | Synthesized peptide derived from the C-terminal region of Human SAA4. |
| Target | SAA4 |
| Purification | The antibody was affinity-purified from rabbit antiserum by affinity-chromatography using epitope-specific immunogen. |
| Conjugation | Unconjugated |
Storage & Handling
−| Storage | Maintain refrigerated at 2-8°C for up to 2 weeks. For long term storage store at -20°C in small aliquots to prevent freeze-thaw cycles. |
|---|---|
| Form/Appearance | Liquid |
| Buffer/Preservatives | Liquid in PBS containing 50% glycerol, 0.5% rAlbumin and 0.02% sodium azide. |
| Expiration Date | 12 months from date of receipt. |
| Disclaimer | For research use only |
Alternative Names
−Anti-SAA4 antibody, anti-CSAA antibody, anti-Serum amyloid A-4 protein antibody, anti-Constitutively expressed serum amyloid A protein antibody, anti-C-SAA antibody
Similar Products
−SAA4 rabbit pAb Antibody [orb769993]
ELISA, IF, IHC
Human, Mouse, Rat
Polyclonal
Unconjugated
100 μl, 50 μlSAA4 Rabbit Polyclonal Antibody [orb578417]
WB
Bovine, Guinea pig, Mouse, Porcine
Human
Rabbit
Polyclonal
Unconjugated
100 μlSAA4 Antibody [orb668027]
IHC, WB
Human, Mouse, Rat
Rabbit
Polyclonal
Unconjugated
30 μl, 50 μl, 100 μl, 200 μl

Quality Guarantee
Explore bioreagents carefree to elevate your research. All our products are rigorously tested for performance. If a product does not perform as described on its datasheet, our scientific support team will provide expert troubleshooting, a prompt replacement, or a refund. For full details, please see our Terms & Conditions and Buying Guide. Contact us at [email protected].
Quick Database Links
Gene Symbol
SAA4
UniProt
UniProt Details
− No UniProt data available
Documents Download
Datasheet
Product Information
Request a Document
Protocol Information
IHC
Immunohistochemistry
ELISA
Enzyme-linked Immunosorbent Assay (EIA)
SAA4 Antibody (orb674405)
Based on 0 reviews
Participating in our Biorbyt product reviews program enables you to support fellow scientists by sharing your firsthand experience with our products.
Login to Submit a Review









