You have no items in your shopping cart.
SAMHD1 Antibody
Description
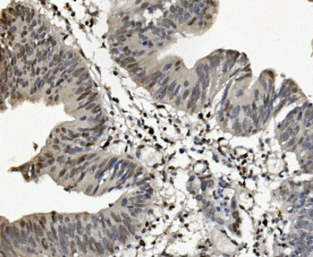
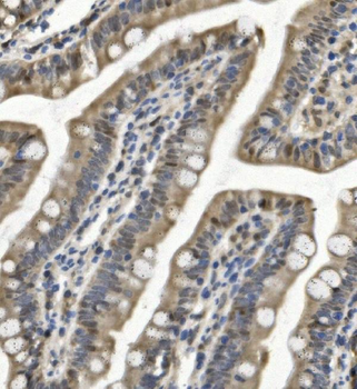
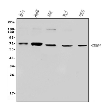
Images & Validation
−| Tested Applications | IF, WB |
|---|---|
| Dilution Range | WB 1:500~2000, IF 1:100 |
| Reactivity | Human |
| Application Notes |
Key Properties
−| Antibody Type | Primary Antibody |
|---|---|
| Host | Mouse |
| Clonality | Monoclonal |
| Isotype | IgG1 |
| Clone No. | OTI3B9 |
| Immunogen | Full length human recombinant protein of human SAMHD1 (NP_056289) produced in HEK293T cell. |
| Target | SAMHD1 |
| Molecular Weight | 72 kDa |
| Conjugation | Unconjugated |
Storage & Handling
−| Storage | Maintain refrigerated at 2-8°C for up to 2 weeks. For long term storage store at -20°C in small aliquots to prevent freeze-thaw cycles. |
|---|---|
| Expiration Date | 12 months from date of receipt. |
| Disclaimer | For research use only |
Similar Products
−SAMHD1 Mouse Monoclonal Antibody [orb738479]
FC, ICC, IF, IHC, WB
Human
Mouse
Monoclonal
Unconjugated
100 μgSAMHD1 (phospho Thr592) Antibody [orb1239966]
ELISA, IF, IHC, WB
Human, Mouse
Rabbit
Polyclonal
Unconjugated
0.1 mg, 0.02 mgSAMHD1 Mouse Monoclonal Antibody [orb738478]
FC, ICC, IF, IHC, WB
Human
Mouse
Monoclonal
Unconjugated
100 μgSAMHD1 Antibody [orb1239948]
ELISA, IF, IHC, WB
Human, Mouse
Rabbit
Polyclonal
Unconjugated
0.1 mg, 0.02 mgSAMHD1 Rabbit Polyclonal Antibody [orb669122]
ELISA, FC, ICC, IF, IHC, WB
Human, Mouse, Rat
Rabbit
Polyclonal
Unconjugated
100 μg

Quality Guarantee
Explore bioreagents carefree to elevate your research. All our products are rigorously tested for performance. If a product does not perform as described on its datasheet, our scientific support team will provide expert troubleshooting, a prompt replacement, or a refund. For full details, please see our Terms & Conditions and Buying Guide. Contact us at [email protected].

Western blot analysis of HEK293T cells were transfected with the pCMV6-ENTRY control (Left lane) or pCMV6-ENTRY SAMHD1 (Right lane) cDNA for 48 hrs and lysed using SAMHD1 antibody
Documents Download
Request a Document
Protocol Information
SAMHD1 Antibody (orb1337010)
Participating in our Biorbyt product reviews program enables you to support fellow scientists by sharing your firsthand experience with our products.
Login to Submit a Review



















































