You have no items in your shopping cart.
splicing factor 3b subunit 3 Antibody
Description
Research Area
Images & Validation
−| Tested Applications | ICC, IHC-P, WB |
|---|---|
| Dilution Range | WB: 1:500-1:20000 , IF: 1:100-1:1000 , IHC-P: 1:100-1:1000 |
| Reactivity | Human |
| Application Notes |
Key Properties
−| Antibody Type | Primary Antibody |
|---|---|
| Host | Rabbit |
| Clonality | Polyclonal |
| Isotype | IgG |
| Immunogen | Carrier-protein conjugated synthetic peptide encompassing a sequence within the C-terminus region of human SAP130. The exact sequence is proprietary. |
| Target | SF3B3 |
| Molecular Weight | 136 |
| Purity | Purified by antigen-affinity chromatography. |
| Purification | Purified by antigen-affinity chromatography. |
| Conjugation | Unconjugated |
Storage & Handling
−| Storage | Store as concentrated solution. Centrifuge briefly prior to opening vial. For short-term storage (1-2 weeks), store at 4°C. For long-term storage, aliquot and store at -20°lC or below. Avoid multiple freeze-thaw cycles. |
|---|---|
| Form/Appearance | Liquid: 1XPBS, 1% rAlbumin, 20% Glycerol (pH7). 0.01% Thimerosal was added as a preservative. |
| Buffer/Preservatives | PBS, 1% rAlbumin, 20% Glycerol, 0.01% Thimerosal. |
| Concentration | 1 mg/ml |
| Expiration Date | 12 months from date of receipt. |
| Disclaimer | For research use only |
Alternative Names
−Similar Products
−SF3B3 Rabbit Polyclonal Antibody [orb1402085]
ELISA, FC, ICC, IF, IHC, WB
Human, Mouse, Rat
Rabbit
Polyclonal
Unconjugated
100 μgMouse Splicing Factor 3B Subunit 3 (SF3B3) ELISA Kit [orb781833]
Mouse
0.16-10 ng/mL
0.057 ng/mL
96 T, 48 TSF3b130 rabbit pAb Antibody [orb768220]
ELISA, IHC, WB
Human, Mouse
Polyclonal
Unconjugated
100 μl, 50 μlSF3B3 Recombinant Rabbit Monoclonal Antibody [orb1499323]
IF, IHC-Fr, IHC-P, WB
Human, Mouse, Rat
Human, Mouse, Rat
Rabbit
Recombinant
Unconjugated
25 μl, 100 μl, 50 μl

Quality Guarantee
Explore bioreagents carefree to elevate your research. All our products are rigorously tested for performance. If a product does not perform as described on its datasheet, our scientific support team will provide expert troubleshooting, a prompt replacement, or a refund. For full details, please see our Terms & Conditions and Buying Guide. Contact us at [email protected].

Immunofluorescence analysis of HeLa cells using SF3B3 antibody

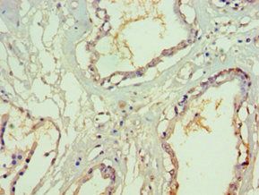
Immunohistochemical staining of Saos-2 xenograft using SF3B3 antibody

Western blot analysis of HeLa cells using SF3B3 antibody
Quick Database Links
UniProt Details
−Documents Download
Request a Document
Protocol Information
splicing factor 3b subunit 3 Antibody (orb556359)
Participating in our Biorbyt product reviews program enables you to support fellow scientists by sharing your firsthand experience with our products.
Login to Submit a Review



























