You have no items in your shopping cart.
Description
Images & Validation
−| Tested Applications | ELISA, IHC-P, WB |
|---|---|
| Dilution Range | IHC-P: 1:100-300, WB: 1:200-1000 |
Key Properties
−| Host | Rabbit |
|---|---|
| Clonality | Polyclonal |
| Isotype | IgG |
| Immunogen | KLH conjugated synthetic peptide derived from human Sclerostin. Please contact us for the exact immunogen sequence. The peptide is available as orb374806. |
| Target | Sclerostin |
| Molecular Weight | 24 kDa |
| Purity | Polyclonal antibodies are purified by peptide affinity chromatography |
| Conjugation | Unconjugated |
Storage & Handling
−| Storage | Maintain refrigerated at 2-8°C for up to 2 weeks. For long term storage store at -20°C in small aliquots to prevent freeze-thaw cycles. |
|---|---|
| Form/Appearance | 10 mM PBS, 0.02% sodium azide |
| Concentration | - 100 μg (in 200 μl): 0.5 mg/ml- 200 μg (in 400 μl): 0.5 mg/ml |
| Expiration Date | 12 months from date of receipt. |
| Disclaimer | For research use only |
Alternative Names
−Similar Products
−Sclerostin Rabbit Polyclonal Antibody [orb313759]
IF, IHC-Fr, IHC-P, WB
Bovine, Canine, Equine, Porcine, Rabbit, Sheep
Human, Mouse, Rat
Rabbit
Polyclonal
Unconjugated
50 μl, 100 μl, 200 μlSclerostin Rabbit Polyclonal Antibody [orb158345]
IF, IHC-Fr, IHC-P, WB
Bovine, Canine, Equine, Mouse, Porcine, Rabbit, Sheep
Human, Rat
Rabbit
Polyclonal
Unconjugated
50 μl, 100 μl, 200 μlSclerostin rabbit pAb Antibody [orb769366]
ELISA, IHC, WB
Human, Mouse, Rat
Polyclonal
Unconjugated
100 μl, 50 μlSOST Rabbit Polyclonal Antibody [orb631413]
ELISA, IHC, WB
Human
Rabbit
Polyclonal
Unconjugated
50 μg, 100 μgSclerostin Rabbit Polyclonal Antibody [orb783299]
WB
Rat
Mouse, Rat
Rabbit
Polyclonal
Unconjugated
50 μl, 100 μl, 200 μl

Quality Guarantee
Explore bioreagents carefree to elevate your research. All our products are rigorously tested for performance. If a product does not perform as described on its datasheet, our scientific support team will provide expert troubleshooting, a prompt replacement, or a refund. For full details, please see our Terms & Conditions and Buying Guide. Contact us at [email protected].

WB analysis of human thyroid cancer (lane 1), human endometrial cancer (lane 2), human mammary fibroma (lane 3), human breast cancer (lane 4) using Sclerostin antibody (1 ug/ml)

WB analysis of human thyroid cancer (lane 1), human endometrial cancer (lane 2), human mammary fibroma (lane 3), human breast cancer (lane 4) using Sclerostin antibody (1 ug/ml)

Western blot analysis of rat kidney (lane 1), mouse liver (lane 2), mouse lung (lane 3), mouse spinal cord (lane 4), hela cells (lane 5), human breast cancer (lane 6) using Sclerostin antibody (1 ug/ml)

Immunohistochemical staining of mouse lung tissue using anti-Sclerostin (2.5 ug/ml)

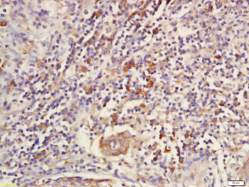
IHC-P staining of mouse bone marrow tissue using Sclerostin antibody (2.5 ug/ml)

Immunohistochemical staining of paraffin embedded mouse bone marrow tissue using anti-Sclerostin (2.5 ug/ml)

Western blot analysis of rat kidney (lane 1), mouse liver (lane 2), mouse lung (lane 3), mouse spinal cord (lane 4), hela cells (lane 5), human breast cancer (lane 6) using Sclerostin antibody (1 ug/ml)

IHC-P image of mouse lung tissue using anti-Sclerostin (2.5 ug/ml)
Quick Database Links
Documents Download
Request a Document
Protocol Information
Filter by Applications
Filter by Species
CT Stringhetta-Garcia, SRL Morais, F Fernandes www. nature. com/scientificreports www. nature. com/scientificreports, (2025)
Fernandes, Fernanda et al. Oxytocin and bone quality in the femoral neck of rats in periestropause Sci Rep, 10, 7937 (2020)
Applications
Reactivity
Sclerostin Rabbit Polyclonal Antibody (orb100911)
Participating in our Biorbyt product reviews program enables you to support fellow scientists by sharing your firsthand experience with our products.
Login to Submit a Review















