You have no items in your shopping cart.
SGSH Antibody
Description
Research Area
Images & Validation
−| Tested Applications | ELISA, IHC, WB |
|---|---|
| Dilution Range | WB: 1:500 - 1:2000; IHC: 1:50 - 1:100 |
| Reactivity | Human, Mouse, Rat |
Key Properties
−| Antibody Type | Primary Antibody |
|---|---|
| Host | Rabbit |
| Clonality | Polyclonal |
| Isotype | IgG |
| Immunogen | N-sulfoglucosamine sulfohydrolase |
| Target | SGSH |
| Molecular Weight | 57 kDa |
| Purity | ≥95% as determined by SDS-PAGE |
| Purification | Immunogen affinity purified |
| Conjugation | Unconjugated |
Storage & Handling
−| Storage | Maintain refrigerated at 2-8°C for up to 2 weeks. For long term storage store at -20°C in small aliquots to prevent freeze-thaw cycles. |
|---|---|
| Form/Appearance | liquid |
| Expiration Date | 12 months from date of receipt. |
| Disclaimer | For research use only |
Alternative Names
−Similar Products
−Human N-Sulfoglucosamine Sulfohydrolase (SGSH) ELISA Kit [orb778029]
Human
0.16-10 ng/mL
0.056 ng/mL
96 T, 48 TMouse N-Sulfoglucosamine Sulfohydrolase (SGSH) ELISA Kit [orb781103]
Mouse
0.16-10 ng/mL
0.054 ng/mL
96 T, 48 TSGSH Rabbit Polyclonal Antibody [orb580284]
WB
Bovine, Canine, Equine, Guinea pig, Mouse, Porcine, Rat
Human
Rabbit
Polyclonal
Unconjugated
100 μl

Quality Guarantee
Explore bioreagents carefree to elevate your research. All our products are rigorously tested for performance. If a product does not perform as described on its datasheet, our scientific support team will provide expert troubleshooting, a prompt replacement, or a refund. For full details, please see our Terms & Conditions and Buying Guide. Contact us at [email protected].

HEK-293 cells were subjected to SDS PAGE followed by western blot with orb631137 (SGSH Antibody) at dilution of 1:1000.

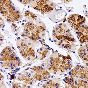
Immunohistochemistry of paraffin-embedded human stomach using orb631137 (SGSH Antibody) at dilution of 1:50.
Quick Database Links
UniProt Details
−Documents Download
Request a Document
Protocol Information
SGSH Antibody (orb631137)
Participating in our Biorbyt product reviews program enables you to support fellow scientists by sharing your firsthand experience with our products.
Login to Submit a Review






![SGSH antibody [C1C3]](/images/pub/media/catalog/product/s/g/sgsh-antibody_orb555974_ihc_1.jpg)
![SGSH antibody [C1C3]](/images/pub/media/catalog/product/s/g/sgsh-antibody_orb555974_wb_1.jpg)
![SGSH antibody [C1C3]](/images/pub/media/catalog/product/s/g/sgsh-antibody_orb555975_wb_1.jpg)