You have no items in your shopping cart.
SIM1
Description
Research Area
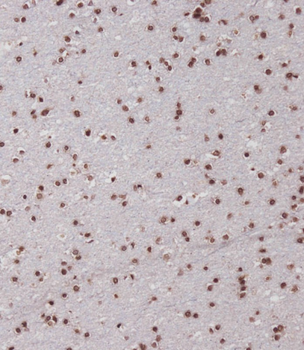
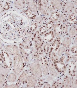
Images & Validation
−
Key Properties
−| Target | Epigenetic Reader Domain,PROTACs |
|---|
Storage & Handling
−| Storage | -20°C |
|---|---|
| Expiration Date | 12 months from date of receipt. |
| Disclaimer | For research use only |
Similar Products
−SIM1 Antibody (N-term) [orb1937049]
IHC-P, WB
Drosophila
Human, Mouse, Rat
Rabbit
Polyclonal
Unconjugated
100 μl, 50 μlSIM1 Rabbit Polyclonal Antibody [orb158389]
ELISA, ICC, IF, IHC-Fr, IHC-P
Bovine, Canine, Equine, Gallus, Human, Mouse, Porcine, Rabbit, Rat, Zebrafish
Human
Rabbit
Polyclonal
Unconjugated
50 μl, 100 μl, 200 μlSIM1 Rabbit Polyclonal Antibody [orb574592]
IHC
Bovine, Canine, Equine, Guinea pig, Human, Porcine, Rabbit, Rat
Mouse
Rabbit
Polyclonal
Unconjugated
100 μlSIM1 Rabbit Polyclonal Antibody [orb576731]
IHC, WB
Bovine, Canine, Equine, Guinea pig, Mouse, Rabbit, Rat, Zebrafish
Human
Rabbit
Polyclonal
Unconjugated
100 μlZebrafish SIM1 Antibody (N-term) [orb1939560]
WB
Drosophila, Human, Mouse
Zebrafish
Rabbit
Polyclonal
Unconjugated
50 μl, 100 μl

Quality Guarantee
Explore bioreagents carefree to elevate your research. All our products are rigorously tested for performance. If a product does not perform as described on its datasheet, our scientific support team will provide expert troubleshooting, a prompt replacement, or a refund. For full details, please see our Terms & Conditions and Buying Guide. Contact us at [email protected].
Quick Database Links
Documents Download
Request a Document
Protocol Information
SIM1 (orb1984340)
Participating in our Biorbyt product reviews program enables you to support fellow scientists by sharing your firsthand experience with our products.
Login to Submit a Review









