You have no items in your shopping cart.
SKP2 Rabbit Polyclonal Antibody
Description
Research Area
Images & Validation
−| Tested Applications | ELISA, IHC, WB |
|---|---|
| Dilution Range | WB: 1:500 - 1:2000; IHC: 1:50 - 1:200 |
| Reactivity | Human, Mouse |
Key Properties
−| Antibody Type | Primary Antibody |
|---|---|
| Host | Rabbit |
| Clonality | Polyclonal |
| Isotype | IgG |
| Immunogen | S-phase kinase-associated protein 2 (p45) |
| Target | SKP2 |
| Molecular Weight | 48 kDa |
| Purity | ≥95% as determined by SDS-PAGE |
| Purification | Immunogen affinity purified |
| Conjugation | Unconjugated |
Storage & Handling
−| Storage | Maintain refrigerated at 2-8°C for up to 2 weeks. For long term storage store at -20°C in small aliquots to prevent freeze-thaw cycles. |
|---|---|
| Form/Appearance | liquid |
| Expiration Date | 12 months from date of receipt. |
| Disclaimer | For research use only |
Alternative Names
−Similar Products
−SKP2 Rabbit Polyclonal Antibody [orb11373]
ICC, IF, IHC-Fr, IHC-P, WB
Bovine, Rabbit
Human, Mouse, Rat
Rabbit
Polyclonal
Unconjugated
50 μl, 100 μl, 200 μlSkp2 p45 rabbit pAb Antibody [orb766325]
ELISA, IF, IHC, WB
Human, Mouse, Rat
Polyclonal
Unconjugated
100 μlSKP2 Rabbit Polyclonal Antibody [orb214576]
IF, IHC, WB
Bovine, Human, Porcine
Rabbit
Polyclonal
Unconjugated
30 μl, 100 μl, 200 μl, 50 μlSKP2 Rabbit Polyclonal Antibody [orb573605]
WB
Bovine, Canine, Equine, Guinea pig, Porcine, Rabbit, Rat
Human
Rabbit
Polyclonal
Unconjugated
100 μl

Quality Guarantee
Explore bioreagents carefree to elevate your research. All our products are rigorously tested for performance. If a product does not perform as described on its datasheet, our scientific support team will provide expert troubleshooting, a prompt replacement, or a refund. For full details, please see our Terms & Conditions and Buying Guide. Contact us at [email protected].

HEK-293 cells were subjected to SDS PAGE followed by western blot with orb631216 (SKP2 Antibody) at dilution of 1:1000.

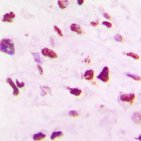
Immunohistochemistry of paraffin-embedded mouse liver using orb631216 (SKP2 Antibody) at dilution of 1:100 heat mediated antigen retrieved with Tris-EDTA buffer (pH9).
Quick Database Links
UniProt Details
−Documents Download
Request a Document
Protocol Information
SKP2 Rabbit Polyclonal Antibody (orb631216)
Participating in our Biorbyt product reviews program enables you to support fellow scientists by sharing your firsthand experience with our products.
Login to Submit a Review













