You have no items in your shopping cart.
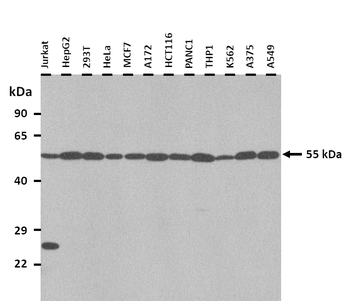
SLC30A1 polyclonal antibody
SKU: orb752080
Description
Research Area
Epigenetics
Images & Validation
−
| Tested Applications | ELISA, IHC-P, WB |
|---|---|
| Dilution Range | WB: 1: 500-2000, ICC: 1: 100-300, ELISA: 1: 5000 |
| Reactivity | Human |
Key Properties
−| Antibody Type | Primary Antibody |
|---|---|
| Host | Rabbit |
| Clonality | Polyclonal |
| Immunogen | The antiserum was produced against synthesized peptide derived from human SLC30A1. AA range:201-250 |
| Molecular Weight | ~ 65 kDa |
| Purification | The antibody was affinity-purified from rabbit antiserum by affinity-chromatography using epitope-specific immunogen. |
| Conjugation | Unconjugated |
Storage & Handling
−| Storage | Maintain refrigerated at 2-8°C for up to 2 weeks. For long term storage store at -20°C in small aliquots to prevent freeze-thaw cycles. |
|---|---|
| Buffer/Preservatives | Liquid in PBS containing 50% glycerol, 0.5% rAlbumin and 0.02% sodium azide. |
| Concentration | 1mg/ml |
| Expiration Date | 12 months from date of receipt. |
| Disclaimer | For research use only |
Alternative Names
−SLC30A1; ZNT1; Zinc transporter 1; ZnT-1; Solute carrier family 30 member 1
Similar Products
−ZnT-1 Rabbit Polyclonal Antibody [orb2481]
ELISA, WB
Bovine, Canine, Porcine
Human, Mouse, Rat
Rabbit
Polyclonal
Unconjugated
50 μl, 100 μl, 200 μlZnT-1 rabbit pAb Antibody [orb770425]
ELISA, IF, IHC, WB
Human, Mouse, Rat
Polyclonal
Unconjugated
100 μl, 50 μlSLC30A1 Rabbit Polyclonal Antibody [orb579021]
WB
Canine, Equine, Porcine, Rabbit, Rat
Human
Rabbit
Polyclonal
Unconjugated
100 μl

Quality Guarantee
Explore bioreagents carefree to elevate your research. All our products are rigorously tested for performance. If a product does not perform as described on its datasheet, our scientific support team will provide expert troubleshooting, a prompt replacement, or a refund. For full details, please see our Terms & Conditions and Buying Guide. Contact us at [email protected].
Quick Database Links
UniProt
UniProt Details
− No UniProt data available
Documents Download
Datasheet
Product Information
Request a Document
Protocol Information
WB
Western Blot (IB, immunoblot)
IHC-P
Immunohistochemistry Paraffin
ELISA
Enzyme-linked Immunosorbent Assay (EIA)
SLC30A1 polyclonal antibody (orb752080)
Based on 0 reviews
Participating in our Biorbyt product reviews program enables you to support fellow scientists by sharing your firsthand experience with our products.
Login to Submit a Review








