You have no items in your shopping cart.
SLC39A6 Rabbit Polyclonal Antibody
Description
Research Area
Images & Validation
−| Tested Applications | IHC, WB |
|---|---|
| Reactivity | Human |
| Predicted Reactivity | Bovine, Canine, Equine, Guinea pig, Mouse, Rabbit, Rat, Sheep |
Key Properties
−| Host | Rabbit |
|---|---|
| Clonality | Polyclonal |
| Immunogen | The immunogen is a synthetic peptide directed towards the middle region of human SLC39A6 |
| Target | SLC39A6 |
| Protein Sequence | Synthetic peptide located within the following region: RSCLIHTSEKKAEIPPKTYSLQIAWVGGFIAISIISFLSLLGVILVPLMN |
| Molecular Weight | 85 kDa |
| Purification | Protein A purified |
| Conjugation | Unconjugated |
Storage & Handling
−| Storage | Maintain refrigerated at 2-8°C for up to 2 weeks. For long term storage store at -20°C in small aliquots to prevent freeze-thaw cycles. |
|---|---|
| Buffer/Preservatives | Liquid. Purified antibody supplied in 1x PBS buffer with 0.09% (w/v) sodium azide and 2% sucrose. |
| Concentration | 1.0 mg/ml |
| Expiration Date | 12 months from date of receipt. |
| Disclaimer | For research use only |
Alternative Names
−Similar Products
−SLC39A6 Rabbit Polyclonal Antibody [orb395273]
ELISA, IHC, WB
Human, Mouse, Rat
Rabbit
Polyclonal
Unconjugated
100 μg, 50 μgSLC39A6 Rabbit Polyclonal Antibody [orb2954916]
ELISA, IHC, WB
Human, Mouse, Rat
Rabbit
Polyclonal
Unconjugated
50 μg, 100 μgSLC39A6 Rabbit Polyclonal Antibody (HRP) [orb2120006]
IHC, WB
Bovine, Canine, Equine, Guinea pig, Human, Mouse, Rabbit, Rat, Sheep
Rabbit
Polyclonal
HRP
100 μlSLC39A6 Rabbit Polyclonal Antibody (FITC) [orb2120007]
IHC, WB
Bovine, Canine, Equine, Guinea pig, Human, Mouse, Rabbit, Rat, Sheep
Rabbit
Polyclonal
FITC
100 μlSLC39A6 Rabbit Polyclonal Antibody (Biotin) [orb2120008]
IHC, WB
Bovine, Canine, Equine, Guinea pig, Human, Mouse, Rabbit, Rat, Sheep
Rabbit
Polyclonal
Biotin
100 μl

Quality Guarantee
Explore bioreagents carefree to elevate your research. All our products are rigorously tested for performance. If a product does not perform as described on its datasheet, our scientific support team will provide expert troubleshooting, a prompt replacement, or a refund. For full details, please see our Terms & Conditions and Buying Guide. Contact us at [email protected].

25 ug of the indicated Human whole cell or tissue extracts was loaded onto a 12% SDS-PAGE gel. 1 ug/ml of the antibody was used in this experiment. The peptide is present in isoforms of 85 kDa and 49 kDa and the protein may be modified by phosphorylation and/or glycosylation. The canonical 85 kDa isoform was undetectable in these samples.

Sample Type: 293T, Antibody Dilution: 1.0 ug/ml. SLC39A6 is strongly supported by BioGPS gene expression data to be expressed in HEK293T.

Sample Type: Human Fetal Brain, Antibody Dilution: 1.0 ug/ml.

Sample Type: MCF7, Antibody Dilution: 1.0 ug/ml. SLC39A6 is strongly supported by BioGPS gene expression data to be expressed in MCF7.

Sample Type: 721_B, Antibody Dilution: 1.0 ug/ml. SLC39A6 is strongly supported by BioGPS gene expression data to be expressed in Human 721_B cells.

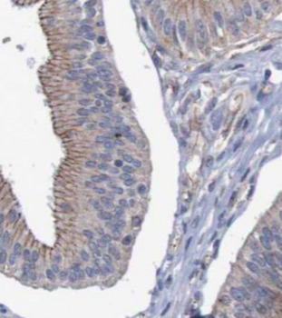
Human kidney

WB Suggested Anti-SLC39A6 Antibody Titration: 1.25 ug/ml, Positive Control: Jurkat cell lysate.
Quick Database Links
UniProt Details
−NCBI Reference Sequences
−| Protein | NP_001092876 |
|---|
Documents Download
Request a Document
Protocol Information
SLC39A6 Rabbit Polyclonal Antibody (orb578987)
Participating in our Biorbyt product reviews program enables you to support fellow scientists by sharing your firsthand experience with our products.
Login to Submit a Review

