You have no items in your shopping cart.
SMARCC1 Antibody
Description
Research Area
Images & Validation
−| Tested Applications | ELISA, IHC, IP, WB |
|---|---|
| Dilution range | WB: 1:500 - 1:2000; IHC: 1:50 - 1:200; IP: 1:50 - 1:200 |
| Reactivity | Human |
Key Properties
−| Antibody Type | Primary Antibody |
|---|---|
| Host | Rabbit |
| Clonality | Polyclonal |
| Isotype | IgG |
| Immunogen | SWI/SNF related, matrix associated, actin dependent regulator of chromatin, subfamily c, member 1 |
| Target | SMARCC1 |
| Molecular Weight | 163 kDa |
| Purity | ≥95% as determined by SDS-PAGE |
| Purification | Immunogen affinity purified |
| Conjugation | Unconjugated |
Storage & Handling
−| Storage | Maintain refrigerated at 2-8°C for up to 2 weeks. For long term storage store at -20°C in small aliquots to prevent freeze-thaw cycles. |
|---|---|
| Form/Appearance | liquid |
| Disclaimer | For research use only |
Alternative Names
−Similar Products
−Human SWI/SNF Related, Matrix Associated, Actin Dependent Regulator of Chromatin, Subfamily C, Member 1 (SMARCC1) ELISA Kit [orb779427]
Human
0.16-10 ng/mL
0.057 ng/mL
96 T, 48 TSMARCC1 Antibody (N-term) [orb1930668]
FC, IHC-P, WB
Mouse
Human
Rabbit
Polyclonal
Unconjugated
100 μl, 50 μl(Mouse) Smarcc1 Antibody (C-term) [orb1926877]
IF, WB
Human, Mouse, Rat
Rabbit
Polyclonal
Unconjugated
100 μl, 50 μl

Quality Guarantee
Explore bioreagents carefree to elevate your research. All our products are rigorously tested for performance. If a product does not perform as described on its datasheet, our scientific support team will provide expert troubleshooting, a prompt replacement, or a refund. For full details, please see our Terms & Conditions and Buying Guide. Contact us at [email protected].

K-562 cells were subjected to SDS PAGE followed by western blot with orb631319 (SMARCC1 antibody) at dilution of 1:1000.

IP Result of anti-SMARCC1 (IP: orb631319, 4 ug; Detection: orb631319 1:600) with mouse brain tissue lysate 4000 ug.

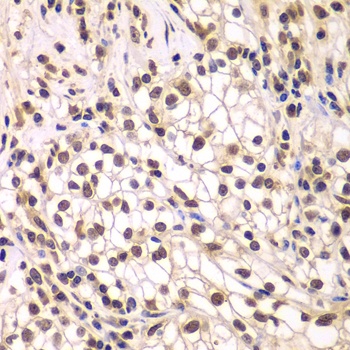
Immunohistochemistry of paraffin-embedded human kidney cancer using orb631319 (SMARCC1 antibody) at dilution of 1:100.
Quick Database Links
UniProt Details
−Documents Download
Request a Document
Protocol Information
SMARCC1 Antibody (orb631319)
Participating in our Biorbyt product reviews program enables you to support fellow scientists by sharing your firsthand experience with our products.
Login to Submit a Review









