You have no items in your shopping cart.
SMARCD1 Antibody
Description
Research Area
Images & Validation
−| Tested Applications | ELISA, IF, IHC, IP, WB |
|---|---|
| Dilution range | WB: 1:500-1:2000; IP: 1:200-1:1000; IHC: 1:20-1:200; IF: 1:20-1:200 |
| Reactivity | Human, Mouse, Rat |
Key Properties
−| Antibody Type | Primary Antibody |
|---|---|
| Host | Rabbit |
| Clonality | Polyclonal |
| Isotype | IgG |
| Immunogen | SWI/SNF related, matrix associated, actin dependent regulator of chromatin, subfamily d, member 1 |
| Target | SMARCD1 |
| Purity | ≥95% as determined by SDS-PAGE |
| Purification | Immunogen affinity purified |
| Conjugation | Unconjugated |
Storage & Handling
−| Storage | Maintain refrigerated at 2-8°C for up to 2 weeks. For long term storage store at -20°C in small aliquots to prevent freeze-thaw cycles. |
|---|---|
| Form/Appearance | liquid |
| Disclaimer | For research use only |
Alternative Names
−Similar Products
−SMARCD1 Rabbit Polyclonal Antibody [orb583959]
WB
Bovine, Canine, Equine, Guinea pig, Mouse, Rabbit, Rat, Zebrafish
Human
Rabbit
Polyclonal
Unconjugated
100 μlSMARCD1 Antibody (C-term) [orb1935089]
WB
Bovine, Mouse
Human
Rabbit
Polyclonal
Unconjugated
100 μl, 50 μlMouse Smarcd1 Antibody(Center) [orb1932198]
WB
Bovine, Human
Mouse
Rabbit
Polyclonal
Unconjugated
100 μl, 50 μl

Quality Guarantee
Explore bioreagents carefree to elevate your research. All our products are rigorously tested for performance. If a product does not perform as described on its datasheet, our scientific support team will provide expert troubleshooting, a prompt replacement, or a refund. For full details, please see our Terms & Conditions and Buying Guide. Contact us at [email protected].

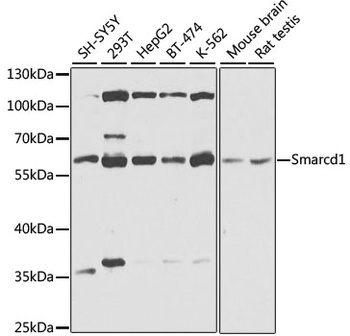
mouse brain tissue were subjected to SDS PAGE followed by western blot with orb631320 (SMARCD1 antibody) at dilution of 1:600.

IP Result of anti-SMARCD1 (IP: orb631320, 3 ug; Detection: orb631320 1:600) with mouse brain tissue lysate 4000 ug.

Immunohistochemistry of paraffin-embedded human lymphoma using orb631320 (SMARCD1 antibody) at dilution of 1:50.
Quick Database Links
UniProt Details
−Documents Download
Request a Document
Protocol Information
SMARCD1 Antibody (orb631320)
Participating in our Biorbyt product reviews program enables you to support fellow scientists by sharing your firsthand experience with our products.
Login to Submit a Review












