You have no items in your shopping cart.
SOAT2 Antibody
Description
Research Area
Images & Validation
−| Tested Applications | ELISA, IF, IHC, WB |
|---|---|
| Dilution Range | WB: 1:500-1:2000; IHC: 1:20-1:200; IF: 1:20-1:200 |
| Reactivity | Human |
Key Properties
−| Antibody Type | Primary Antibody |
|---|---|
| Host | Rabbit |
| Clonality | Polyclonal |
| Isotype | IgG |
| Immunogen | sterol O-acyltransferase 2 |
| Target | SOAT2 |
| Purity | ≥95% as determined by SDS-PAGE |
| Purification | Immunogen affinity purified |
| Conjugation | Unconjugated |
Storage & Handling
−| Storage | Maintain refrigerated at 2-8°C for up to 2 weeks. For long term storage store at -20°C in small aliquots to prevent freeze-thaw cycles. |
|---|---|
| Form/Appearance | liquid |
| Expiration Date | 12 months from date of receipt. |
| Disclaimer | For research use only |
Alternative Names
−Similar Products
−SOAT2 Rabbit Polyclonal Antibody [orb4332]
IF, IHC-Fr, IHC-P, WB
Bovine, Canine, Equine, Porcine, Rabbit
Human, Mouse, Rat
Rabbit
Polyclonal
Unconjugated
100 μl, 200 μl, 50 μl

Quality Guarantee
Explore bioreagents carefree to elevate your research. All our products are rigorously tested for performance. If a product does not perform as described on its datasheet, our scientific support team will provide expert troubleshooting, a prompt replacement, or a refund. For full details, please see our Terms & Conditions and Buying Guide. Contact us at [email protected].

HeLa cells were subjected to SDS PAGE followed by western blot with orb631396 (SOAT2 antibody) at dilution of 1:1000.

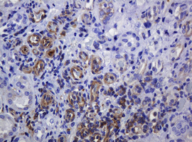
Immunohistochemistry of paraffin-embedded human small intestine using orb631396 (SOAT2 antibody) at dilution of 1:50.
Quick Database Links
UniProt Details
−Documents Download
Request a Document
Protocol Information
SOAT2 Antibody (orb631396)
Participating in our Biorbyt product reviews program enables you to support fellow scientists by sharing your firsthand experience with our products.
Login to Submit a Review









