You have no items in your shopping cart.
SRC Rabbit Polyclonal Antibody
Description
Research Area
Images & Validation
−| Tested Applications | IF, IHC-Fr, IHC-P, WB |
|---|---|
| Dilution range | WB=1:500-2000, IHC-P=1:100-500, IHC-F=1:100-500, IF=1:200-800 |
| Reactivity | Human, Mouse, Rat |
| Predicted Reactivity | Bovine, Canine |
Related Conjugates & Formulations
−Key Properties
−| Antibody Type | Primary Antibody |
|---|---|
| Host | Rabbit |
| Clonality | Polyclonal |
| Isotype | IgG |
| Immunogen | KLH conjugated synthetic peptide derived from human SRC (2-100/541aa) |
| Target | SRC |
| Molecular Weight | 61 kDa |
| Purification | Affinity purified by Protein A |
| Conjugation | Unconjugated |
Storage & Handling
−| Storage | Maintain refrigerated at 2-8°C for up to 2 weeks. For long term storage store at -20°C in small aliquots to prevent freeze-thaw cycles. |
|---|---|
| Form/Appearance | Liquid |
| Buffer/Preservatives | 0.01M TBS (pH7.4) with 1% rAlbumin, 0.02% Proclin300 and 50% Glycerol. |
| Concentration | 1mg/ml |
| Disclaimer | For research use only |
Alternative Names
−Similar Products
−Phospho-Src (Ser75) Rabbit Polyclonal Antibody [orb313108]
IF, IHC-Fr, IHC-P
Bovine, Canine, Gallus, Porcine, Rabbit, Sheep
Human, Mouse, Rat
Rabbit
Polyclonal
Unconjugated
50 μl, 200 μl, 100 μlPhospho-MLK3 (Thr277 + Ser281) Rabbit Polyclonal Antibody [orb6424]
FC, IF, IHC-Fr, IHC-P
Bovine, Canine, Guinea pig, Porcine, Rabbit
Human, Mouse, Rat
Rabbit
Polyclonal
Unconjugated
50 μl, 100 μl, 200 μlCDCP1 Polyclonal Antibody [orb1411479]
IHC-P, WB
Human, Mouse, Rat
Rabbit
Polyclonal
Unconjugated
100 μlc-Src Polyclonal Antibody [orb1414137]
IF, IHC-P, WB
Human, Mouse, Rat
Rabbit
Polyclonal
Unconjugated
100 μlSRC Rabbit Polyclonal Antibody [orb186006]
ICC, IF, IHC-Fr, IHC-P, WB
Bovine, Canine, Gallus, Porcine, Rabbit
Human, Mouse, Rat
Rabbit
Polyclonal
Unconjugated
50 μl, 100 μl, 200 μl

Quality Guarantee
Explore bioreagents carefree to elevate your research. All our products are rigorously tested for performance. If a product does not perform as described on its datasheet, our scientific support team will provide expert troubleshooting, a prompt replacement, or a refund. For full details, please see our Terms & Conditions and Buying Guide. Contact us at [email protected].

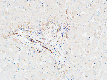
Paraformaldehyde-fixed, paraffin embedded (Mouse brain), Antigen retrieval by boiling in sodium citrate buffer (pH6.0) for 15 min, Block endogenous peroxidase by 3% hydrogen peroxide for 20 minutes, Blocking buffer (normal goat serum) at 37°C for 30 min, Antibody incubation with (SRC) Polyclonal Antibody, Unconjugated (orb11412) at 1:400 overnight at 4°C, followed by operating according to SP Kit (Rabbit) instructionsand DAB staining.

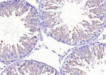
Paraformaldehyde-fixed, paraffin embedded (Mouse testis), Antigen retrieval by boiling in sodium citrate buffer (pH6.0) for 15 min, Block endogenous peroxidase by 3% hydrogen peroxide for 20 minutes, Blocking buffer (normal goat serum) at 37°C for 30 min, Antibody incubation with (SRC) Polyclonal Antibody, Unconjugated (orb11412) at 1:400 overnight at 4°C, followed by operating according to SP Kit (Rabbit) instructionsand DAB staining.

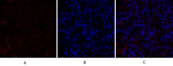
Paraformaldehyde-fixed, paraffin embedded (Rat brain), Antigen retrieval by boiling in sodium citrate buffer (pH6.0) for 15 min, Block endogenous peroxidase by 3% hydrogen peroxide for 20 minutes, Blocking buffer (normal goat serum) at 37°C for 30 min, Antibody incubation with (SRC) Polyclonal Antibody, Unconjugated (orb11412) at 1:400 overnight at 4°C, followed by a conjugated Goat Anti-Rabbit IgG antibody (orb868805) for 90 minutes, and DAPI for nuclei staining.

Paraformaldehyde-fixed, paraffin embedded (Rat brain), Antigen retrieval by boiling in sodium citrate buffer (pH6.0) for 15 min, Block endogenous peroxidase by 3% hydrogen peroxide for 20 minutes, Blocking buffer (normal goat serum) at 37°C for 30 min, Antibody incubation with (SRC) Polyclonal Antibody, Unconjugated (orb11412) at 1:400 overnight at 4°C, followed by operating according to SP Kit (Rabbit) instructionsand DAB staining.

Sample: Hela (Human) Cell Lysate at 30 ug, Primary: Anti-SRC (orb11412) at 1/1000 dilution, Secondary: IRDye800CW Goat Anti-Rabbit IgG at 1/20000 dilution, Predicted band size: 61 kD, Observed band size: 61 kD.

Sample: NIH/3T3 (Mouse) Cell Lysate at 30 ug, Primary: Anti-SRC (orb11412) at 1/1000 dilution, Secondary: IRDye800CW Goat Anti-Rabbit IgG at 1/20000 dilution, Predicted band size: 61 kD, Observed band size: 61 kD.
Quick Database Links
UniProt Details
−Documents Download
Request a Document
Protocol Information
SRC Rabbit Polyclonal Antibody (orb11412)
Participating in our Biorbyt product reviews program enables you to support fellow scientists by sharing your firsthand experience with our products.
Login to Submit a Review

































