You have no items in your shopping cart.
SUZ12 Antibody
Description
Images & Validation
−| Tested Applications | IF, IHC, IP, WB |
|---|---|
| Reactivity | Human, Mouse, Rat |
| Application Notes |
Key Properties
−| Antibody Type | Primary Antibody |
|---|---|
| Host | Rabbit |
| Clonality | Polyclonal |
| Isotype | IgG |
| Immunogen | Recombinant fusion protein containing a sequence corresponding to amino acids 470-739 of human SUZ12 (NP_056170.2). |
| Target | SUZ12 |
| Molecular Weight | Observed: 83kDa |
| Purification | Affinity purification |
| Conjugation | Unconjugated |
Storage & Handling
−| Storage | Maintain refrigerated at 2-8°C for up to 2 weeks. For long term storage store at -20°C in small aliquots to prevent freeze-thaw cycles. |
|---|---|
| Form/Appearance | Liquid |
| Buffer/Preservatives | PBS with 0.02% sodium azide, 50% glycerol, pH 7.3. |
| Concentration | batch dependent |
| Expiration Date | 12 months from date of receipt. |
| Disclaimer | For research use only |
Alternative Names
−Similar Products
−Human Suppressor of Zeste 12 Homolog (SUZ12) ELISA Kit [orb780808]
Human
0.32-20 ng/mL
0.112 ng/mL
96 T, 48 T(Mouse) Suz12 Antibody (Center) [orb1926516]
IHC-P, WB
Human, Mouse
Rabbit
Polyclonal
Unconjugated
100 μl, 50 μl

Quality Guarantee
Explore bioreagents carefree to elevate your research. All our products are rigorously tested for performance. If a product does not perform as described on its datasheet, our scientific support team will provide expert troubleshooting, a prompt replacement, or a refund. For full details, please see our Terms & Conditions and Buying Guide. Contact us at [email protected].

Western blot analysis of extracts of various cell lines, using SUZ12 Antibody (orb1274421) at 1:1000 dilution. Secondary antibody: HRP Goat Anti-Rabbit IgG (H+L) at 1:10000 dilution. Lysates/proteins: 25 ug per lane. Blocking buffer: 3% nonfat dry milk in TBST. Detection: ECL Basic Kit. Exposure time: 90s.

Western blot analysis of extracts from normal (control) and SUZ12 knockout (KO) HeLa cells, using SUZ12 antibody (orb1274421) at 1:1000 dilution. Secondary antibody: HRP Goat Anti-Rabbit IgG (H+L) at 1:10000 dilution. Lysates/proteins: 25 ug per lane. Blocking buffer: 3% nonfat dry milk in TBST. Detection: ECL Basic Kit. Exposure time: 90s.

Immunohistochemistry of paraffin-embedded rat lung using SUZ12 antibody (orb1274421) at dilution of 1:100 (40x lens).

Immunohistochemistry of paraffin-embedded rat brain using SUZ12 antibody (orb1274421) at dilution of 1:100 (40x lens).

Immunohistochemistry of paraffin-embedded rat heart using SUZ12 antibody (orb1274421) at dilution of 1:100 (40x lens).

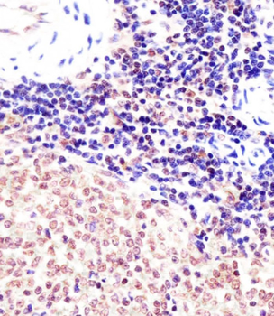
Immunohistochemistry of paraffin-embedded human breast cancer using SUZ12 antibody (orb1274421) at dilution of 1:100 (40x lens).

Immunohistochemistry of paraffin-embedded human gastric cancer using SUZ12 antibody (orb1274421) at dilution of 1:100 (40x lens).

Immunohistochemistry of paraffin-embedded mouse brain using SUZ12 antibody (orb1274421) at dilution of 1:100 (40x lens).

Immunofluorescence analysis of C6 cells using SUZ12 Polyclonal Antibody (orb1274421) at dilution of 1:100 (40x lens). Blue: DAPI for nuclear staining.

Immunohistochemistry of paraffin-embedded mouse kidney using HNRNPA1 Antibody (orb1256354) at dilution of 1:100 (40x lens).
Quick Database Links
UniProt Details
−Documents Download
Request a Document
Protocol Information
SUZ12 Antibody (orb1274421)
Participating in our Biorbyt product reviews program enables you to support fellow scientists by sharing your firsthand experience with our products.
Login to Submit a Review










