You have no items in your shopping cart.
TAOK1 Antibody
Description
Research Area
Images & Validation
−| Tested Applications | ELISA, IF, IHC, WB |
|---|---|
| Dilution Range | WB: 1: 1000-1: 5000, IHC-P: 1: 200-1: 500, IF: 1: 50-1: 200 |
| Reactivity | Human |
Key Properties
−| Host | Rabbit |
|---|---|
| Clonality | Polyclonal |
| Isotype | IgG |
| Immunogen | Recombinant Human Serine/threonine-protein kinase TAO1 protein (400-659AA) |
| Target | TAOK1 |
| Purification | >95%, Protein G purified |
| Conjugation | Unconjugated |
Storage & Handling
−| Storage | Maintain refrigerated at 2-8°C for up to 2 weeks. For long term storage store at -20°C in small aliquots to prevent freeze-thaw cycles. |
|---|---|
| Form/Appearance | Liquid |
| Buffer/Preservatives | Preservative: 0.03% Proclin 300. Constituents: 50% Glycerol |
| Expiration Date | 12 months from date of receipt. |
| Disclaimer | For research use only |
Alternative Names
−Similar Products
−TAOK1/TAO1 Antibody [orb1534413]
ELISA, IHC, IHC-P
Bovine, Canine, Equine, Gallus, Hamster, Human, Mammal, Monkey, Mouse, Porcine, Rabbit, Rat, Xenopus
Rabbit
Polyclonal
Unconjugated
50 μgTAOK1 Antibody (Center) [orb1929572]
WB
Mouse, Rat, Xenopus
Human
Rabbit
Polyclonal
Unconjugated
100 μl, 50 μlTAO1 Antibody [orb315721]
IHC, WB
Human, Mouse, Rat
Rabbit
Polyclonal
Unconjugated
30 μl, 100 μl, 200 μl, 50 μlTAOK1 Antibody [orb223313]
IHC, WB
Human, Mouse, Rat
Rabbit
Polyclonal
Unconjugated
50 μg, 25 μg, 100 μg, 200 μg

Quality Guarantee
Explore bioreagents carefree to elevate your research. All our products are rigorously tested for performance. If a product does not perform as described on its datasheet, our scientific support team will provide expert troubleshooting, a prompt replacement, or a refund. For full details, please see our Terms & Conditions and Buying Guide. Contact us at [email protected].

Western blot analysis of A549 whole cell lysate, U251 whole cell lysate, SH-SY5Y whole cell lysate, 293 whole cell lysate using TAOK1 antibody

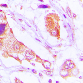
Immunohistochemical staining of human liver tissue using TAOK1 antibody

Immunofluorescence analysis of Hela cells using TAOK1 antibody
Quick Database Links
UniProt Details
−Documents Download
Request a Document
Protocol Information
TAOK1 Antibody (orb686268)
Participating in our Biorbyt product reviews program enables you to support fellow scientists by sharing your firsthand experience with our products.
Login to Submit a Review






