You have no items in your shopping cart.
Description
Research Area
Images & Validation
−| Tested Applications | IF, IHC-P, WB |
|---|---|
| Dilution Range | IHC-P - 1:100-500, WB - 1:1000, IF - 1:10-50 |
| Reactivity | Human |
Key Properties
−| Host | Rabbit |
|---|---|
| Clonality | Polyclonal |
| Isotype | Rabbit IgG |
| Molecular Weight | 43133 Da |
| Conjugation | Unconjugated |
Storage & Handling
−| Storage | Maintain refrigerated at 2-8°C for up to 2 weeks. For long term storage store at -20°C in small aliquots to prevent freeze-thaw cycles |
|---|---|
| Form/Appearance | Purified polyclonal antibody supplied in PBS with 0.09% (W/V) sodium azide. This antibody is purified through a protein A column, followed by peptide affinity purification. |
| Expiration Date | 12 months from date of receipt. |
| Disclaimer | For research use only |
Similar Products
−TBX1 Rabbit Polyclonal Antibody [orb318926]
IF, IHC, WB
Human
Rabbit
Polyclonal
Unconjugated
30 μl, 100 μl, 200 μl, 50 μl

Quality Guarantee
Explore bioreagents carefree to elevate your research. All our products are rigorously tested for performance. If a product does not perform as described on its datasheet, our scientific support team will provide expert troubleshooting, a prompt replacement, or a refund. For full details, please see our Terms & Conditions and Buying Guide. Contact us at [email protected].

TBX1 Antibody (C-term) western blot analysis in HLVEC cell line lysates (35 ug/lane).This demonstrates the TBX1 antibody detected the TBX1 protein (arrow).

Western blot analysis of lysate from HLVEC cell line, using TBX1 Antibody (C-term). Diluted at 1:1000 at each lane. A goat anti-rabbit IgG H&L (HRP) at 1:5000 dilution was used as the secondary antibody. Lysate at 35 ug.

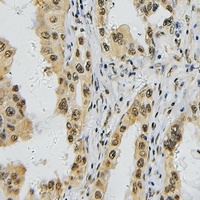
Immunohistochemical analysis of paraffin-embedded H. breast section using TBX1 Antibody (C-term). Diluted at 1:25 dilution. A undiluted biotinylated goat polyvalent antibody was used as the secondary, followed by DAB staining.

Formalin-fixed and paraffin-embedded human testis tissue reacted with TBX1 Antibody (C-term), which was peroxidase-conjugated to the secondary antibody, followed by DAB staining. This data demonstrates the use of this antibody for immunohistochemistry; clinical relevance has not been evaluated.

Fluorescent confocal image of A2058 cell stained with TBX1 Antibody (C-term). A2058 cells were fixed with 4% PFA (20 min), permeabilized with Triton X-100 (0.1%, 10 min), then incubated with TBX1 primary antibody (1: 25, 1 h at 37°C). For secondary antibody, Alexa Fluor 488 conjugated donkey anti-rabbit antibody (green) was used (1:400, 50 min at 37°C).Cytoplasmic actin was counterstained with Alexa Fluor 555 (red) conjugated Phalloidin (7units/ml, 1 h at 37°C). Nuclei were counterstained with DAPI (blue) (10 µg/ml, 10 min). TBX1 immunoreactivity is localized to nucleus significantly.
Quick Database Links
UniProt Details
−Documents Download
Request a Document
Protocol Information
TBX1 Antibody (C-term) (orb1927949)
Participating in our Biorbyt product reviews program enables you to support fellow scientists by sharing your firsthand experience with our products.
Login to Submit a Review

