You have no items in your shopping cart.
TCF21 Rabbit Polyclonal Antibody
Description
Research Area
Images & Validation
−| Tested Applications | IHC, WB |
|---|---|
| Reactivity | Human |
| Predicted Reactivity | Bovine, Canine, Equine, Guinea pig, Mouse, Rabbit, Rat |
Key Properties
−| Host | Rabbit |
|---|---|
| Clonality | Polyclonal |
| Immunogen | The immunogen is a synthetic peptide directed towards the N terminal region of human TCF21 |
| Target | TCF21 |
| Protein Sequence | Synthetic peptide located within the following region: SNCENGSPQKGRGGLGKRRKAPTKKSPLSGVSQEGKQVQRNAANARERAR |
| Molecular Weight | 20 kDa |
| Purification | Affinity Purified |
| Conjugation | Unconjugated |
Storage & Handling
−| Storage | Maintain refrigerated at 2-8°C for up to 2 weeks. For long term storage store at -20°C in small aliquots to prevent freeze-thaw cycles. |
|---|---|
| Buffer/Preservatives | Liquid. Purified antibody supplied in 1x PBS buffer with 0.09% (w/v) sodium azide and 2% sucrose. |
| Concentration | 0.5 mg/ml |
| Expiration Date | 12 months from date of receipt. |
| Disclaimer | For research use only |
Alternative Names
−Similar Products
−POD1 Rabbit Polyclonal Antibody [orb158184]
IF, IHC-Fr, IHC-P, WB
Bovine, Equine, Porcine, Rabbit
Human, Mouse, Rat
Rabbit
Polyclonal
Unconjugated
100 μl, 50 μl, 200 μlTCF21 Rabbit Polyclonal Antibody [orb576599]
WB
Bovine, Canine, Equine, Guinea pig, Mouse, Rabbit, Rat
Human
Rabbit
Polyclonal
Unconjugated
100 μlTCF21 Rabbit Polyclonal Antibody (Biotin) [orb2136647]
IHC, WB
Bovine, Canine, Equine, Guinea pig, Human, Mouse, Rabbit, Rat
Rabbit
Polyclonal
Biotin
100 μlTCF21 Rabbit Polyclonal Antibody (HRP) [orb2136649]
IHC, WB
Bovine, Canine, Equine, Guinea pig, Human, Mouse, Rabbit, Rat
Rabbit
Polyclonal
HRP
100 μlTCF21 Rabbit Polyclonal Antibody (FITC) [orb2136651]
IHC, WB
Bovine, Canine, Equine, Guinea pig, Human, Mouse, Rabbit, Rat
Rabbit
Polyclonal
FITC
100 μl

Quality Guarantee
Explore bioreagents carefree to elevate your research. All our products are rigorously tested for performance. If a product does not perform as described on its datasheet, our scientific support team will provide expert troubleshooting, a prompt replacement, or a refund. For full details, please see our Terms & Conditions and Buying Guide. Contact us at [email protected].

25 ug of the indicated Human whole cell extracts was loaded onto a 10-20% SDS-PAGE gel. 2 ug/ml of the antibody was used in this experiment.

Sample Tissue: Human 293T Whole Cell, Antibody dilution: 1 ug/ml.

Sample Tissue: Human HCT116 Whole Cell, Antibody dilution: 3 ug/ml.

Sample Tissue: Human Hela, Antibody dilution: 1.0 ug/ml.

Sample Tissue: Human Jurkat Whole Cell, Antibody dilution: 1 ug/ml.

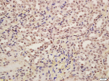
Sample Tissue: Human Ovary Tumor, Antibody dilution: 1 ug/ml.

Sample Tissue: Human Ovary Tumor, Antibody dilution: 1 ug/ml.

Sample Type: Hela Whole cell lysates, Antibody dilution: 1.0 ug/ml.

Positive control (+): Human kidney (KI), Negative control (-): Human liver (LI), Antibody concentration: 1 ug/ml.

Immunohistochemistry with Human Brain, cortex, senile plaque tissue at an antibody concentration of 5.0 ug/ml using anti-TCF21 antibody (orb574662).

WB Suggested Anti-TCF21 Antibody Titration: 0.2-1 ug/ml, Positive Control: Human Lung.
Documents Download
Request a Document
Protocol Information
TCF21 Rabbit Polyclonal Antibody (orb574662)
Participating in our Biorbyt product reviews program enables you to support fellow scientists by sharing your firsthand experience with our products.
Login to Submit a Review




