You have no items in your shopping cart.
TEAD1 Antibody
Description
Research Area
Images & Validation
−| Tested Applications | ChIP, IF, IHC, WB |
|---|---|
| Reactivity | Human, Mouse |
| Application Notes |
Key Properties
−| Antibody Type | Primary Antibody |
|---|---|
| Host | Rabbit |
| Clonality | Polyclonal |
| Isotype | IgG |
| Immunogen | Recombinant fusion protein containing a sequence corresponding to amino acids 135-215 of human TEAD1 (NP_068780.2). |
| Target | TEAD1 |
| Molecular Weight | Observed: 48kDa |
| Purification | Affinity purification |
| Conjugation | Unconjugated |
Storage & Handling
−| Storage | Maintain refrigerated at 2-8°C for up to 2 weeks. For long term storage store at -20°C in small aliquots to prevent freeze-thaw cycles. |
|---|---|
| Form/Appearance | Liquid |
| Buffer/Preservatives | PBS with 0.02% sodium azide, 50% glycerol, pH 7.3. |
| Concentration | batch dependent |
| Expiration Date | 12 months from date of receipt. |
| Disclaimer | For research use only |
Alternative Names
−Similar Products
−TEAD1 Rabbit Polyclonal Antibody [orb577162]
IHC, WB
Bovine, Canine, Equine, Guinea pig, Mouse, Rabbit, Rat, Zebrafish
Human
Rabbit
Polyclonal
Unconjugated
100 μlTEAD1 Antibody [orb1289725]
ChIP, IF, IHC, WB
Human, Mouse, Rat
Rabbit
Polyclonal
Unconjugated
30 μl, 50 μl, 100 μl, 200 μlTEF-1 rabbit pAb Antibody [orb770237]
ELISA, IF, IHC, WB
Human, Mouse, Rat
Polyclonal
Unconjugated
100 μl, 50 μlTEAD1 Rabbit Polyclonal Antibody [orb592922]
WB
Mouse, Rabbit, Rat
Human
Rabbit
Polyclonal
Unconjugated
100 μlTEAD1 Antibody [orb214649]
IF, WB
Bovine, Canine, Gallus, Human, Mouse, Porcine, Rat
Rabbit
Polyclonal
Unconjugated
50 μl, 30 μl, 100 μl, 200 μl

Quality Guarantee
Explore bioreagents carefree to elevate your research. All our products are rigorously tested for performance. If a product does not perform as described on its datasheet, our scientific support team will provide expert troubleshooting, a prompt replacement, or a refund. For full details, please see our Terms & Conditions and Buying Guide. Contact us at [email protected].

Western blot analysis of extracts of various cell lines, using TEAD1 antibody (orb1260451) at 1:1000 dilution. Secondary antibody: HRP Goat Anti-Rabbit IgG (H+L) at 1:10000 dilution. Lysates/proteins: 25 ug per lane. Blocking buffer: 3% nonfat dry milk in TBST. Detection: ECL Basic Kit. Exposure time: 120s.

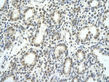
Immunohistochemistry of paraffin-embedded human lung cancer using TEAD1 antibody (orb1260451) at dilution of 1:100 (40x lens).

Immunohistochemistry of paraffin-embedded human liver cancer using TEAD1 antibody (orb1260451) at dilution of 1:100 (40x lens).

Immunohistochemistry of paraffin-embedded human colon carcinoma using TEAD1 antibody (orb1260451) at dilution of 1:100 (40x lens).

Immunohistochemistry of paraffin-embedded human esophageal cancer using TEAD1 antibody (orb1260451) at dilution of 1:100 (40x lens).

Immunohistochemistry of paraffin-embedded human gastric cancer using TEAD1 antibody (orb1260451) at dilution of 1:100 (40x lens).

Immunohistochemistry of paraffin-embedded mouse lung using TEAD1 antibody (orb1260451) at dilution of 1:100 (40x lens).

Immunofluorescence analysis of MCF7 cells using TEAD1 antibody (orb1260451).

Chromatin immunoprecipitation analysis of extracts of HeLa cell line, using TEAD1 rabbit polyclonal antibody (orb1260451) and rabbit IgG. The amount of immunoprecipitated DNA was checked by quantitative PCR. Histogram was constructed by the ratios of the immunoprecipitated DNA to the input.
Quick Database Links
UniProt Details
−Documents Download
Request a Document
Protocol Information
TEAD1 Antibody (orb1260451)
Participating in our Biorbyt product reviews program enables you to support fellow scientists by sharing your firsthand experience with our products.
Login to Submit a Review










