You have no items in your shopping cart.
TGF beta Receptor 2 antibody
Description
Images & Validation
−| Tested Applications | ICC, IF, IHC-P, WB |
|---|---|
| Dilution range | IHC-P: 1:100-500, WB: 1:100-1000, IF/ICC: 1:100-500 (based on 0.5 mg/ml) |
| Reactivity | Human, Mouse, Rat |
Key Properties
−| Host | Rabbit |
|---|---|
| Clonality | Polyclonal |
| Isotype | IgG |
| Immunogen | KLH conjugated synthetic peptide derived from human TGF beta Receptor 2. Please contact us for the exact immunogen sequence. The peptide is available as orb374981. |
| Target | TGF beta Receptor 2 |
| Molecular Weight | 56 kDa |
| Purity | Polyclonal antibodies are purified by peptide affinity chromatography |
| Conjugation | Unconjugated |
Storage & Handling
−| Storage | Maintain refrigerated at 2-8°C for up to 2 weeks. For long term storage store at -20°C in small aliquots to prevent freeze-thaw cycles. |
|---|---|
| Form/Appearance | 10 mM PBS, 0.02% sodium azide |
| Concentration | - 100 μg (in 200 μl): 0.5 mg/ml- 200 μg (in 400 μl): 0.5 mg/ml |
| Disclaimer | For research use only |
Alternative Names
−Similar Products
−TGF beta Receptor 2 antibody [orb11471]
ELISA, IHC-P, WB
Human, Mouse, Rat
Rabbit
Polyclonal
Unconjugated
500 μg, 100 μgTGF beta Receptor II Rabbit Polyclonal Antibody [orb500790]
IF, IHC-Fr, IHC-P
Bovine, Equine, Gallus, Porcine, Rabbit, Sheep
Human, Mouse, Rat
Rabbit
Polyclonal
Unconjugated
100 μl, 200 μl, 50 μlTGF beta Receptor 2 antibody [orb315555]
ELISA, IHC-P, WB
Human, Mouse, Rat
Rabbit
Polyclonal
Unconjugated
100 μgTGFβ RII Polyclonal Antibody [orb1411974]
IF, IHC-P, WB
Human, Mouse, Rat
Rabbit
Polyclonal
Unconjugated
100 μlTGFβ RII rabbit pAb Antibody [orb766471]
ELISA, IF, IHC, WB
Human, Mouse, Rat
Polyclonal
Unconjugated
100 μl, 50 μl

Quality Guarantee
Explore bioreagents carefree to elevate your research. All our products are rigorously tested for performance. If a product does not perform as described on its datasheet, our scientific support team will provide expert troubleshooting, a prompt replacement, or a refund. For full details, please see our Terms & Conditions and Buying Guide. Contact us at [email protected].

IHC-P staining of rat pancreas tissue using anti-TGF beta Receptor 2 (2.5 ug/ml)

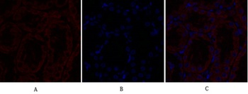
IF analysis of rat brain tissue using TGF beta Receptor 2 antibody (2.5 ug/ml)

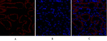
IHC-P image of rat brain tissue using anti-TGF beta Receptor 2 (2.5 ug/ml)

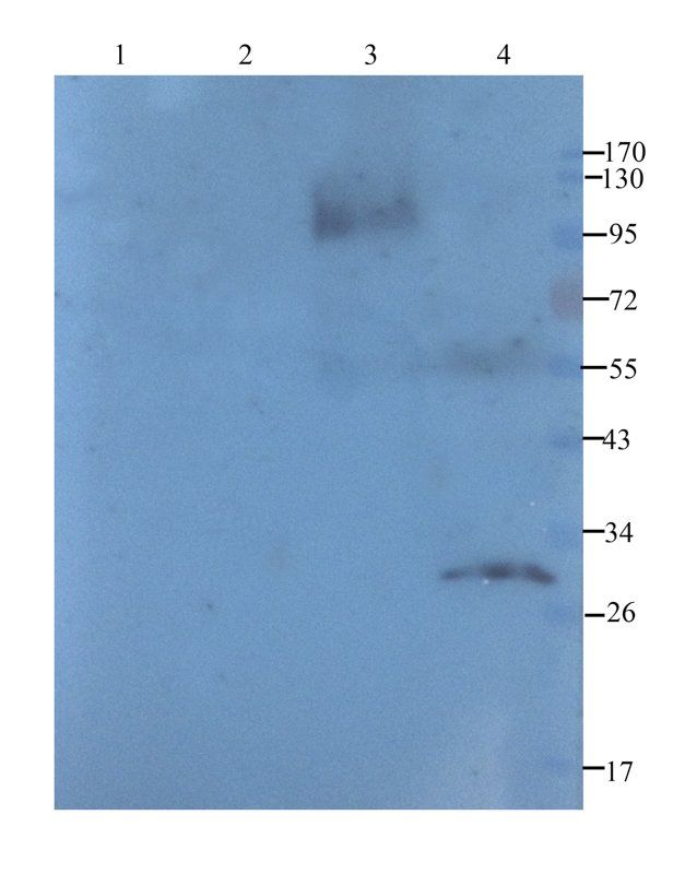
Western blot analysis of human breast tumour (lane 1), human lung cancer (lane 2), Hela cells (lane 3), 293T cells (lane 4), using TGF beta Receptor 2 antibody (1 ug/ml)

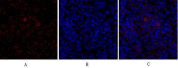
Immunohistochemical staining of mouse lymph node tissue using TGF beta Receptor 2 antibody (2.5 ug/ml)

Immunofluorescence image of rat brain tissue using TGF beta Receptor 2 antibody (2.5 ug/ml)
Documents Download
Request a Document
Protocol Information
TGF beta Receptor 2 antibody (orb371959)
Participating in our Biorbyt product reviews program enables you to support fellow scientists by sharing your firsthand experience with our products.
Login to Submit a Review































