You have no items in your shopping cart.
TGFB1 Rabbit Polyclonal Antibody
Description
Research Area
Images & Validation
−| Tested Applications | IF, IHC, WB |
|---|---|
| Reactivity | Human, Mouse |
| Predicted Reactivity | Bovine, Canine, Equine, Goat, Guinea pig, Porcine, Rat, Sheep |
Key Properties
−| Host | Rabbit |
|---|---|
| Clonality | Polyclonal |
| Immunogen | The immunogen is a synthetic peptide directed towards the middle region of mouse TGFB1 |
| Target | TGFB1 |
| Molecular Weight | 43kDa |
| Purification | Affinity Purified |
| Conjugation | Unconjugated |
Storage & Handling
−| Storage | Maintain refrigerated at 2-8°C for up to 2 weeks. For long term storage store at -20°C in small aliquots to prevent freeze-thaw cycles. |
|---|---|
| Buffer/Preservatives | Liquid. Purified antibody supplied in 1x PBS buffer with 0.09% (w/v) sodium azide and 2% sucrose. |
| Concentration | 0.5 mg/ml |
| Disclaimer | For research use only |
Alternative Names
−Similar Products
−TGF beta 1 Rabbit Polyclonal Antibody [orb7087]
ELISA, WB
Bovine, Canine, Guinea pig, Porcine, Rabbit, Sheep
Human, Mouse
Rabbit
Polyclonal
Unconjugated
50 μl, 100 μl, 200 μlTGFβ1 Polyclonal Antibody [orb1411972]
IF, IHC-P, WB
Human, Mouse, Rat
Rabbit
Polyclonal
Unconjugated
100 μlTGF Beta 1+2+3 Rabbit Polyclonal Antibody [orb7086]
FC, IF, IHC-Fr, IHC-P, WB
Bovine, Canine, Guinea pig, Porcine, Sheep
Human, Mouse, Rabbit, Rat
Rabbit
Polyclonal
Unconjugated
50 μl, 100 μl, 200 μlTGFB1 Antibody [orb676164]
ELISA, IF, IHC, WB
Human, Mouse, Rat
Rabbit
Polyclonal
Unconjugated
100 μg, 50 μgLatency-associated peptide Rabbit Polyclonal Antibody [orb2885]
IF, IHC-Fr, IHC-P, WB
Human
Rabbit
Polyclonal
Unconjugated
50 μl, 100 μl, 200 μl

Quality Guarantee
Explore bioreagents carefree to elevate your research. All our products are rigorously tested for performance. If a product does not perform as described on its datasheet, our scientific support team will provide expert troubleshooting, a prompt replacement, or a refund. For full details, please see our Terms & Conditions and Buying Guide. Contact us at [email protected].

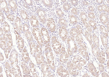
Sample Tissue: Mouse Pancreas, Antibody Dilution: 1 ug/ml.

Sample Tissue: Mouse Spleen, Antibody Dilution: 1 ug/ml.

Sample Tissue: Human Fetal Heart, Antibody Dilution: 1.0 ug/ml.

Human Spleen

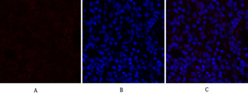
Immunofluorescent TGFB1 detection in mouse kidney (red fluorescence). Nuclei were stained with DAPI (blue fluorescence). Working dilutions: 5-10 ug/ml.

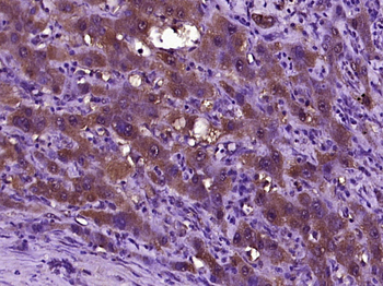
TGFB1 in human prostate cancer tissue was detected using HRP/AEC red color stain. Working dilutions: 5-10 ug/ml.

WB Suggested Anti-TGFB1 Antibody Titration: 0.2-1 ug/ml or 1:5000 to 1:1000 dilution. SP2/0 cell lysate.
Documents Download
Request a Document
Protocol Information
TGFB1 Rabbit Polyclonal Antibody (orb576457)
Participating in our Biorbyt product reviews program enables you to support fellow scientists by sharing your firsthand experience with our products.
Login to Submit a Review


















