You have no items in your shopping cart.
TKTL1 antibody
Description
Images & Validation
−| Tested Applications | IHC-P, WB |
|---|---|
| Dilution Range | IHC-P: 1:100-600 |
| Reactivity | Guinea pig, Mouse, Rat |
Key Properties
−| Host | Rabbit |
|---|---|
| Clonality | Polyclonal |
| Isotype | IgG |
| Immunogen | KLH conjugated synthetic peptide derived from human TKTL1. Please contact us for the exact immunogen sequence." |
| Target | TKTL1 |
| Molecular Weight | 65 kDa |
| Purity | Polyclonal antibodies are purified by peptide affinity chromatography |
| Conjugation | Unconjugated |
Storage & Handling
−| Storage | Maintain refrigerated at 2-8°C for up to 2 weeks. For long term storage store at -20°C in small aliquots to prevent freeze-thaw cycles. |
|---|---|
| Form/Appearance | 10 mM PBS, 0.02% sodium azide |
| Concentration | - 100 μg (in 200 μl): 0.5 mg/ml- 200 μg (in 400 μl): 0.5 mg/ml |
| Expiration Date | 12 months from date of receipt. |
| Disclaimer | For research use only |
Similar Products
−Human Transketolase Like Protein 1 (TKTL1) ELISA Kit [orb778538]
Human
0.16-10 ng/mL
0.061 ng/mL
96 T, 48 TTKTL1 Rabbit Polyclonal Antibody [orb100919]
IF, IHC-Fr, IHC-P, WB
Bovine, Canine, Equine, Porcine, Rabbit, Sheep
Human, Mouse, Rat
Rabbit
Polyclonal
Unconjugated
100 μl, 200 μl, 50 μlTKTL1 Rabbit Polyclonal Antibody [orb582178]
IHC, WB
Canine, Equine, Guinea pig, Mouse, Rabbit, Rat
Human
Rabbit
Polyclonal
Unconjugated
100 μlTKTL1 Rabbit Polyclonal Antibody [orb512924]
ELISA, IHC, WB
Mouse, Rat
Human
Rabbit
Polyclonal
Unconjugated
100 μg

Quality Guarantee
Explore bioreagents carefree to elevate your research. All our products are rigorously tested for performance. If a product does not perform as described on its datasheet, our scientific support team will provide expert troubleshooting, a prompt replacement, or a refund. For full details, please see our Terms & Conditions and Buying Guide. Contact us at [email protected].

Immunohistochemical staining of paraffin embedded mouse stomach tissue using anti-TKTL1 (2.5 ug/ml)

Immunohistochemical staining of paraffin embedded guinea pig ovary tissue using anti-TKTL1 (2.5 ug/ml)

IHC-P staining of mouse kidney tissue using TKTL1 antibody (2.5 ug/ml)

IHC-P image of mouse kidney tissue using TKTL1 antibody (2.5 ug/ml)

WB analysis of rat ovary (lane 1), rat testis (lane 2), hela (lane 3), mouse stomach (lane 4), mouse heart (lane 5), rat lung (lane 6) tissue using anti-TKTL1 (1 ug/ml)

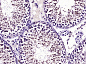
Immunohistochemical staining of guinea pig epididymis tissue using anti-TKTL1 (2.5 ug/ml)

IHC-P staining of mouse stomach tissue using TKTL1 antibody (2.5 ug/ml)
Quick Database Links
UniProt Details
−Documents Download
Request a Document
Protocol Information
TKTL1 antibody (orb507587)
Participating in our Biorbyt product reviews program enables you to support fellow scientists by sharing your firsthand experience with our products.
Login to Submit a Review









