You have no items in your shopping cart.
TMPRSS11D Rabbit Polyclonal Antibody
SKU: orb330484
Description
Research Area
Cell Biology, Immunology & Inflammation, Signal Transduction, Stem Cell & Developmental Biology
Images & Validation
−Item 1 of 2
| Tested Applications | IHC, WB |
|---|---|
| Reactivity | Human |
| Predicted Reactivity | Equine, Guinea pig, Rabbit |
Key Properties
−| Host | Rabbit |
|---|---|
| Clonality | Polyclonal |
| Immunogen | The immunogen is a synthetic peptide directed towards the N terminal region of human TMPRSS11D |
| Target | TMPRSS11D |
| Protein Sequence | Synthetic peptide located within the following region: RSSFQLLNVEYNSQLNSPATQEYRTLSGRIESLITKTFKESNLRNQFIRA |
| Molecular Weight | 46kDa |
| Purification | Protein A purified |
| Conjugation | Unconjugated |
Storage & Handling
−| Storage | Maintain refrigerated at 2-8°C for up to 2 weeks. For long term storage store at -20°C in small aliquots to prevent freeze-thaw cycles. |
|---|---|
| Buffer/Preservatives | Liquid. Purified antibody supplied in 1x PBS buffer with 0.09% (w/v) sodium azide and 2% sucrose. |
| Concentration | 1.0 mg/ml |
| Expiration Date | 12 months from date of receipt. |
| Disclaimer | For research use only |
Alternative Names
−anti HAT antibody, anti MGC150587 antibody, anti MGC150588 antibody
Similar Products
−TMPRSS11D Rabbit Polyclonal Antibody [orb330485]
IHC, WB
Human
Human
Rabbit
Polyclonal
Unconjugated
100 μlTMPRSS11D Rabbit Polyclonal Antibody [orb313327]
IF, IHC-Fr, IHC-P
Human
Rabbit
Polyclonal
Unconjugated
50 μl, 100 μl, 200 μl

Quality Guarantee
Explore bioreagents carefree to elevate your research. All our products are rigorously tested for performance. If a product does not perform as described on its datasheet, our scientific support team will provide expert troubleshooting, a prompt replacement, or a refund. For full details, please see our Terms & Conditions and Buying Guide. Contact us at [email protected].

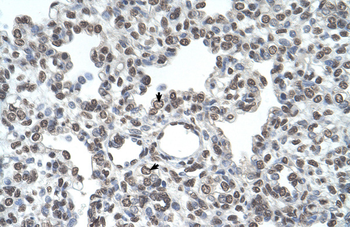
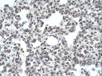
Human Lung

WB Suggested Antibody Titration: 2.5 ug/mL, Positive Control: HepG2.
Documents Download
Datasheet
Product Information
Request a Document
Protocol Information
WB
Western Blot (IB, immunoblot)
IHC
Immunohistochemistry
TMPRSS11D Rabbit Polyclonal Antibody (orb330484)
Based on 0 reviews
Participating in our Biorbyt product reviews program enables you to support fellow scientists by sharing your firsthand experience with our products.
Login to Submit a Review




