You have no items in your shopping cart.
TRIM21 Rabbit Polyclonal Antibody
Description
Research Area
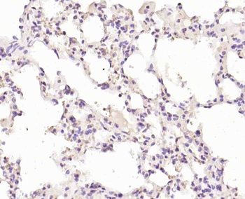
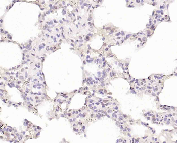
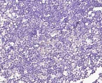
Images & Validation
−| Tested Applications | WB |
|---|---|
| Reactivity | Human |
| Predicted Reactivity | Bovine, Mouse, Porcine, Rat |
Key Properties
−| Host | Rabbit |
|---|---|
| Clonality | Polyclonal |
| Immunogen | The immunogen is a synthetic peptide directed towards the N terminal region of human TRIM21 |
| Target | TRIM21 |
| Protein Sequence | Synthetic peptide located within the following region: CPVCRQRFLLKNLRPNRQLANMVNNLKEISQEAREGTQGERCAVHGERLH |
| Molecular Weight | 54kDa |
| Purification | Protein A purified |
| Conjugation | Unconjugated |
Storage & Handling
−| Storage | Maintain refrigerated at 2-8°C for up to 2 weeks. For long term storage store at -20°C in small aliquots to prevent freeze-thaw cycles. |
|---|---|
| Buffer/Preservatives | Liquid. Purified antibody supplied in 1x PBS buffer with 0.09% (w/v) sodium azide and 2% sucrose. |
| Concentration | 1.0 mg/ml |
| Expiration Date | 12 months from date of receipt. |
| Disclaimer | For research use only |
Alternative Names
−Similar Products
−TRIM21 Rabbit Polyclonal Antibody [orb11417]
ELISA, IF, IHC-Fr, IHC-P, WB
Mouse
Human, Mouse, Rat
Rabbit
Polyclonal
Unconjugated
50 μl, 100 μl, 200 μlTRIM21/SS-A/SS Rabbit Polyclonal Antibody [orb654375]
ELISA, FC, ICC, IF, WB
Human, Mouse, Rat
Rabbit
Polyclonal
Unconjugated
100 μgRNF81 Rabbit Polyclonal Antibody [orb382091]
IF, IHC, WB
Human, Mouse, Rat
Rabbit
Polyclonal
Unconjugated
50 μl, 100 μl, 200 μl, 30 μlTRIM21 Rabbit Polyclonal Antibody [orb574970]
WB
Canine, Guinea pig, Mouse, Rabbit, Rat
Human
Rabbit
Polyclonal
Unconjugated
100 μlTRIM21 Rabbit Polyclonal Antibody [orb576589]
WB
Bovine, Equine, Guinea pig, Porcine, Rat, Zebrafish
Human
Rabbit
Polyclonal
Unconjugated
100 μl

Quality Guarantee
Explore bioreagents carefree to elevate your research. All our products are rigorously tested for performance. If a product does not perform as described on its datasheet, our scientific support team will provide expert troubleshooting, a prompt replacement, or a refund. For full details, please see our Terms & Conditions and Buying Guide. Contact us at [email protected].

WB Suggested Anti-TRIM21 Antibody Titration: 1.25 ug/ml, Positive Control: Transfected 293T.
Documents Download
Request a Document
TRIM21 Rabbit Polyclonal Antibody (orb576588)
Participating in our Biorbyt product reviews program enables you to support fellow scientists by sharing your firsthand experience with our products.
Login to Submit a Review















