You have no items in your shopping cart.
TST Rabbit Polyclonal Antibody
Description
Research Area
Images & Validation
−| Tested Applications | IHC, WB |
|---|---|
| Reactivity | Human |
| Predicted Reactivity | Bovine, Canine, Equine, Guinea pig, Mouse, Rabbit, Rat |
Key Properties
−| Host | Rabbit |
|---|---|
| Clonality | Polyclonal |
| Immunogen | The immunogen is a synthetic peptide directed towards the middle region of human TST |
| Target | TST |
| Protein Sequence | Synthetic peptide located within the following region: GEHLGSFYAPRVWWMFRVFGHRTVSVLNGGFRNWLKEGHPVTSEPSRPEP |
| Molecular Weight | 33 kDa |
| Purification | Affinity Purified |
| Conjugation | Unconjugated |
Storage & Handling
−| Storage | Maintain refrigerated at 2-8°C for up to 2 weeks. For long term storage store at -20°C in small aliquots to prevent freeze-thaw cycles. |
|---|---|
| Buffer/Preservatives | Liquid. Purified antibody supplied in 1x PBS buffer with 0.09% (w/v) sodium azide and 2% sucrose. |
| Concentration | 0.5 mg/ml |
| Expiration Date | 12 months from date of receipt. |
| Disclaimer | For research use only |
Alternative Names
−Similar Products
−TST Rabbit Polyclonal Antibody [orb1474807]
ELISA, ICC, IF, IHC, WB
Human, Mouse, Rat
Rabbit
Polyclonal
Unconjugated
100 μgthiosulfate sulfurtransferase Antibody [orb556321]
IHC-P, WB
Human, Mouse, Rat
Rabbit
Polyclonal
Unconjugated
100 μlPou3f1 Rabbit Polyclonal Antibody [orb574493]
WB
Bovine, Canine, Equine, Guinea pig, Mouse, Rabbit, Zebrafish
Human, Rat
Rabbit
Polyclonal
Unconjugated
100 μlTST Rabbit Polyclonal Antibody [orb632229]
ELISA, IHC, IP, WB
Human, Mouse, Rat
Rabbit
Polyclonal
Unconjugated
50 μg, 100 μgPou3f1 Rabbit Polyclonal Antibody [orb583846]
WB
Bovine, Canine, Guinea pig, Human, Rat
Mouse
Rabbit
Polyclonal
Unconjugated
100 μl

Quality Guarantee
Explore bioreagents carefree to elevate your research. All our products are rigorously tested for performance. If a product does not perform as described on its datasheet, our scientific support team will provide expert troubleshooting, a prompt replacement, or a refund. For full details, please see our Terms & Conditions and Buying Guide. Contact us at [email protected].

25 ug of the indicated Human whole cell extracts was loaded onto a 12% SDS-PAGE gel. 1 ug/mL of the antibody was used in this experiment. The protein may be modified by acetylation and succinylation.

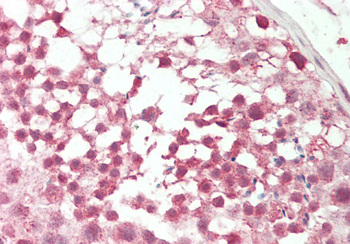
Anti-TST antibody IHC staining of human liver. Immunohistochemistry of formalin-fixed, paraffin-embedded tissue after heat-induced antigen retrieval. Antibody concentration 5 ug/mL.

Anti-TST antibody IHC staining of human small intestine. Immunohistochemistry of formalin-fixed, paraffin-embedded tissue after heat-induced antigen retrieval. Antibody concentration 5 ug/mL.

Rabbit Anti-TST Antibody, Paraffin Embedded Tissue: Human Lung, Cellular Data: Alveolar cells, Antibody Concentration: 4.0-8.0 ug/mL, Magnification: 400X.

WB Suggested Anti-TST Antibody, Titration: 1 ug/mL, Positive Control: Jurkat cell lysate.
Documents Download
Request a Document
Protocol Information
TST Rabbit Polyclonal Antibody (orb324984)
Participating in our Biorbyt product reviews program enables you to support fellow scientists by sharing your firsthand experience with our products.
Login to Submit a Review























