You have no items in your shopping cart.
Tubulin beta-5 chain Antibody
Description
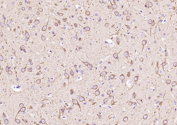
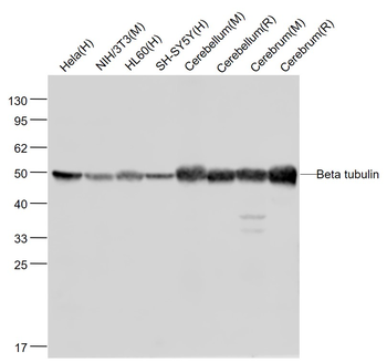
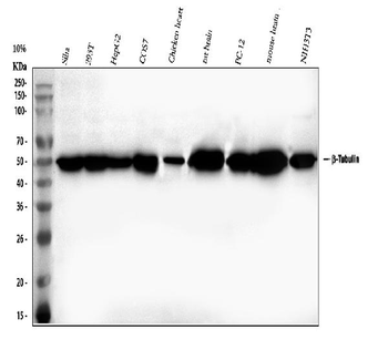
Images & Validation
−
| Tested Applications | ELISA, WB |
|---|---|
| Reactivity | Plant |
| Application Notes |
Key Properties
−| Host | Rabbit |
|---|---|
| Clonality | Polyclonal |
| Isotype | IgG |
| Immunogen | Recombinant Gossypium hirsutum (Upland cotton) (Gossypium mexicanum) Tubulin beta-5 chain protein |
| Target | Tubulin beta-5 chain |
| Purification | Antigen Affinity |
Storage & Handling
−| Storage | Maintain refrigerated at 2-8°C for up to 2 weeks. For long term storage store at -20°C in small aliquots to prevent freeze-thaw cycles. |
|---|---|
| Form/Appearance | Liquid |
| Buffer/Preservatives | Preservative: 0.03% Proclin 300. Constituents: 50% Glycerol |
| Disclaimer | For research use only |
Alternative Names
−Similar Products
−Beta tubulin Rabbit Polyclonal Antibody (Loading Control) [orb100281]
FC, IF, IHC-Fr, IHC-P, WB
Rabbit
Human, Mouse, Rat
Rabbit
Polyclonal
Unconjugated
100 μl, 500 μl, 1000 μl, 200 μlBeta Tubulin Recombinant Rabbit Monoclonal Antibody [orb1499401]
IF, IHC-Fr, IHC-P, WB
Mouse, Rat
Human, Mouse, Rat
Rabbit
Recombinant
Unconjugated
25 μl, 50 μl, 100 μlBeta tubulin Mouse Monoclonal Antibody (Loading Control) [orb499644]
ICC, IF, IHC-Fr, IHC-P, WB
Bovine, Canine, Gallus, Guinea pig, Insect, Monkey, Porcine, Rabbit, Sheep, Yeast
Human, Mouse, Rat
Mouse
Monoclonal
Unconjugated
100 μl, 500 μl, 1000 μl, 200 μlBeta Tubulin TUBB Antibody (monoclonal, 2E11) [orb610920]
FC, ICC, IF, WB
Human, Mouse, Rat
Mouse
Monoclonal
Unconjugated
100 μgBeta Tubulin/TUBB Antibody [orb389435]
FC, ICC, IF, IHC, WB
Gallus, Human, Monkey, Mouse, Rat
Rabbit
Polyclonal
Unconjugated
100 μg

Quality Guarantee
Explore bioreagents carefree to elevate your research. All our products are rigorously tested for performance. If a product does not perform as described on its datasheet, our scientific support team will provide expert troubleshooting, a prompt replacement, or a refund. For full details, please see our Terms & Conditions and Buying Guide. Contact us at [email protected].
Quick Database Links
UniProt Details
−Documents Download
Request a Document
Protocol Information
Tubulin beta-5 chain Antibody (orb837008)
Participating in our Biorbyt product reviews program enables you to support fellow scientists by sharing your firsthand experience with our products.
Login to Submit a Review



























