You have no items in your shopping cart.
UBE2N Antibody
Description
Research Area
Images & Validation
−| Tested Applications | ELISA, IF, IHC, WB |
|---|---|
| Dilution Range | WB: 1:500-1:2000; IHC: 1:50-1:500; IF: 1:50-1:200 |
| Reactivity | Human, Mouse |
Key Properties
−| Antibody Type | Primary Antibody |
|---|---|
| Host | Rabbit |
| Clonality | Polyclonal |
| Isotype | IgG |
| Immunogen | Ubiquitin-conjugating enzyme E2 N |
| Target | UBE2N |
| Molecular Weight | 17 kDa |
| Purity | ≥95% as determined by SDS-PAGE |
| Purification | Immunogen affinity purified |
| Conjugation | Unconjugated |
Storage & Handling
−| Storage | Maintain refrigerated at 2-8°C for up to 2 weeks. For long term storage store at -20°C in small aliquots to prevent freeze-thaw cycles. |
|---|---|
| Form/Appearance | liquid |
| Expiration Date | 12 months from date of receipt. |
| Disclaimer | For research use only |
Alternative Names
−Similar Products
−Ubc13/UBE2N Rabbit Polyclonal Antibody [orb1291704]
ELISA, FC, ICC, IF, IHC, WB
Human, Mouse, Rat
Rabbit
Polyclonal
Unconjugated
100 μgUBE2N Rabbit Polyclonal Antibody [orb574525]
IHC, WB
Bovine, Canine, Equine, Goat, Guinea pig, Rabbit, Rat, Sheep, Yeast, Zebrafish
Human, Mouse
Rabbit
Polyclonal
Unconjugated
100 μlUBE2N Rabbit Polyclonal Antibody [orb574929]
IHC, WB
Bovine, Canine, Equine, Guinea pig, Rabbit, Rat, Sheep, Yeast, Zebrafish
Human, Mouse
Rabbit
Polyclonal
Unconjugated
100 μlUBE2N Antibody [orb1238589]
ELISA, IF, IHC-P, WB
Bovine
Human, Mouse, Rat
Rabbit
Polyclonal
Unconjugated
0.1 mg, 0.02 mg

Quality Guarantee
Explore bioreagents carefree to elevate your research. All our products are rigorously tested for performance. If a product does not perform as described on its datasheet, our scientific support team will provide expert troubleshooting, a prompt replacement, or a refund. For full details, please see our Terms & Conditions and Buying Guide. Contact us at [email protected].

Rat heart tissue were subjected to SDS PAGE followed by western blot with orb756599 (ubc13 antibody) at dilution of 1:1000.

Immunofluorescent analysis of HepG2 cells using ubc13 antibody (orb756599) at 1:50 dilution.

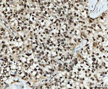
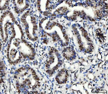
Immunohistochemistry of paraffin-embedded mouse heart tissue slide using orb756599 (ubc13 antibody) at dilution of 1:200.
Quick Database Links
UniProt Details
−Documents Download
Request a Document
Protocol Information
UBE2N Antibody (orb756599)
Participating in our Biorbyt product reviews program enables you to support fellow scientists by sharing your firsthand experience with our products.
Login to Submit a Review




















