You have no items in your shopping cart.
VEGFD Antibody
Description
Research Area
Images & Validation
−| Tested Applications | ELISA, IHC |
|---|---|
| Dilution Range | IHC-P:1:200-1:500 |
| Reactivity | Human |
Key Properties
−| Host | Rabbit |
|---|---|
| Clonality | Polyclonal |
| Isotype | IgG |
| Immunogen | Recombinant Human Vascular endothelial growth factor D protein (89-205AA) |
| Target | VEGFD |
| Purification | >95%, Protein G purified |
| Conjugation | Unconjugated |
Storage & Handling
−| Storage | Maintain refrigerated at 2-8°C for up to 2 weeks. For long term storage store at -20°C in small aliquots to prevent freeze-thaw cycles. |
|---|---|
| Form/Appearance | Liquid |
| Buffer/Preservatives | Preservative: 0.1mol/L NaCl, 15mmol/L NaN3, PH7.2 |
| Expiration Date | 12 months from date of receipt. |
| Disclaimer | For research use only |
Alternative Names
−Similar Products
−VEGF-D rabbit pAb Antibody [orb766569]
ELISA, IF, IHC, WB
Human, Monkey, Mouse, Rat
Polyclonal
Unconjugated
100 μlMouse Vascular Endothelial Growth Factor D (VEGFD) ELISA Kit [orb776368]
Mouse
15.63-1000 pg/mL
5.5 pg/mL
96 T, 48 THuman Vascular Endothelial Growth Factor D (VEGFD) ELISA Kit [orb775060]
Human
15.63-1000 pg/mL
5.9 pg/mL
48 T, 96 TPig Vascular Endothelial Growth Factor D (VEGFD) ELISA Kit [orb1736459]
Porcine
31.25-2000 pg/mL
11.8 pg/mL
96 T, 48 TVEGFD/FIGF Rabbit Polyclonal Antibody [orb334602]
IHC, WB
Human, Mouse, Rat
Rabbit
Polyclonal
Unconjugated
100 μg

Quality Guarantee
Explore bioreagents carefree to elevate your research. All our products are rigorously tested for performance. If a product does not perform as described on its datasheet, our scientific support team will provide expert troubleshooting, a prompt replacement, or a refund. For full details, please see our Terms & Conditions and Buying Guide. Contact us at [email protected].

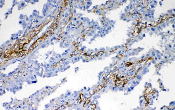
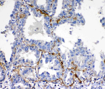
Immunohistochemistry of paraffin-embedded human heart tissue using Vascular endothelial growth factor D antibody
Quick Database Links
UniProt Details
−Documents Download
Request a Document
Protocol Information
VEGFD Antibody (orb238473)
Participating in our Biorbyt product reviews program enables you to support fellow scientists by sharing your firsthand experience with our products.
Login to Submit a Review









