You have no items in your shopping cart.
VIP36
Description
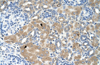
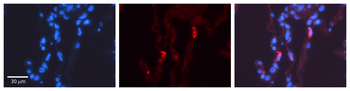
Images & Validation
−
Key Properties
−| MW | 526.603 |
|---|---|
| Formula | C27H35FN6O4 |
| SMILES | O=C(N[C@@H](C(C)(C)C)C(OC)=O)C1=NN(CC2=CC=C(F)C=C2)C3=CC(OCCCCNC(N)=N)=CC=C31 |
| Target | Cannabinoid Receptor |
Storage & Handling
−| Storage | -20°C |
|---|---|
| Expiration Date | 12 months from date of receipt. |
| Disclaimer | For research use only |
Similar Products
−Human Lectin, Mannose Binding 2 (LMAN2) ELISA Kit [orb777341]
Human
0.16-10 ng/mL
0.053 ng/mL
96 T, 48 THuman LMAN2L [orb2994523]
Unconjugated
SDS-PAGE: Greater than 90% as determined by reducing SDS-PAGE.
Predicted: 34.4 KDa. Observed: 30-45 KDa, reducing conditions
10 μg, 50 μg, 500 μg, 1 mgHuman VIP36 [orb2994887]
Unconjugated
SDS-PAGE: Greater than 95% as determined by reducing SDS-PAGE.
Predicted: 32.7 KDa. Observed: 33 KDa, reducing conditions
10 μg, 50 μg, 500 μg, 1 mgLMAN2 Rabbit Polyclonal Antibody [orb325297]
IHC, WB
Bovine, Canine, Equine, Guinea pig, Mouse, Rabbit, Rat, Zebrafish
Human
Rabbit
Polyclonal
Unconjugated
100 μlRecombinant Human Vesicular integral-membrane protein VIP36 (LMAN2), partial [orb1785309]
Greater than 90% as determined by SDS-PAGE.
36.0 kDa
Mammalian cell
1 mg, 100 μg, 20 μg

Quality Guarantee
Explore bioreagents carefree to elevate your research. All our products are rigorously tested for performance. If a product does not perform as described on its datasheet, our scientific support team will provide expert troubleshooting, a prompt replacement, or a refund. For full details, please see our Terms & Conditions and Buying Guide. Contact us at [email protected].
Quick Database Links
Documents Download
Request a Document
Protocol Information
VIP36 (orb3028427)
Participating in our Biorbyt product reviews program enables you to support fellow scientists by sharing your firsthand experience with our products.
Login to Submit a Review




