You have no items in your shopping cart.
WTAP Antibody
Description
Images & Validation
−| Tested Applications | FC, ICC, IHC, WB |
|---|---|
| Dilution Range | WB: 1/500 - 1/2000; IHC: 1/100 - 1/500; IF/ICC: 1/50 - 1/500; FCM: 1/200 - 1/400; ELISA: 1/10000 |
| Reactivity | Human, Monkey |
Key Properties
−| Antibody Type | Primary Antibody |
|---|---|
| Host | Mouse |
| Clonality | Monoclonal |
| Isotype | Mouse IgG1 |
| Clone No. | 6B6B6 |
| Immunogen | Purified recombinant fragment of human WTAP (AA: 91-201) expressed in E. Coli. |
| Target | WTAP |
| Molecular Weight | 44.2kDa |
| Conjugation | Unconjugated |
Storage & Handling
−| Storage | Maintain refrigerated at 2-8°C for up to 2 weeks. For long term storage store at -20°C in small aliquots to prevent freeze-thaw cycles. |
|---|---|
| Buffer/Preservatives | Purified antibody in PBS with 0.05% sodium azide |
| Concentration | Approximately 1mg/ml (varies from batch to batch). Please inquire for precise concentration. |
| Expiration Date | 12 months from date of receipt. |
| Disclaimer | For research use only |
Alternative Names
−Similar Products
−WTAP Antibody [orb2309681]
FC, IHC
Human
Mouse
Monoclonal
Unconjugated
100 μg, 20 μg, 100 μg (without BSA and Azide)Rabbit WTAP Antibody [orb1528398]
IHC, IP, WB
Frog, Xenopus
Human
Rabbit
Polyclonal
Unconjugated
100 μl, 10 μl

Quality Guarantee
Explore bioreagents carefree to elevate your research. All our products are rigorously tested for performance. If a product does not perform as described on its datasheet, our scientific support team will provide expert troubleshooting, a prompt replacement, or a refund. For full details, please see our Terms & Conditions and Buying Guide. Contact us at [email protected].

Western blot analysis of HEK293 using WTAP antibody

Western blot analysis of MCF-7 (Lane1), Hela (Lane2), K562 (Lane3), Hek293 (Lane4), A549 (Lane5), HepG2 (Lane6), Jurkat (Lane7), and Cos7 (Lane8) cell lysate using WTAP antibody

ELISA Black line: Control Antigen (100 ng); Purple line: Antigen(10ng); Blue line: Antigen (50 ng); Red line: Antigen (100 ng)

Flow cytometric analysis of A549 cells using WTAP antibody

Immunofluorescence analysis of Hela cells using WTAP antibody

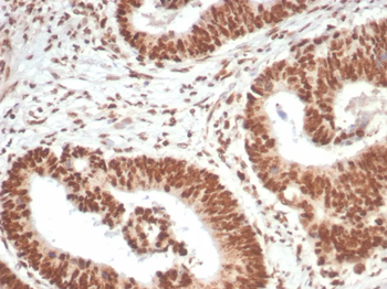
Immunohistochemical analysis of formalin-fixed and paraffin-embedded cervical cancer tissues using WTAP antibody

Immunohistochemical analysis of formalin-fixed and paraffin-embedded endometrial cancer tissues using WTAP antibody

Western blot analysis of human recombinant protein using WTAP antibody
Documents Download
Request a Document
Protocol Information
WTAP Antibody (orb229767)
Participating in our Biorbyt product reviews program enables you to support fellow scientists by sharing your firsthand experience with our products.
Login to Submit a Review












