You have no items in your shopping cart.
YEATS4 Antibody
Description
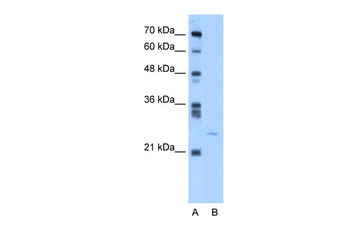
Images & Validation
−| Tested Applications | ELISA, WB |
|---|---|
| Dilution range | WB: 1: 500-1: 3000 |
| Reactivity | Human, Mouse |
Key Properties
−| Host | Rabbit |
|---|---|
| Clonality | Polyclonal |
| Isotype | IgG |
| Immunogen | Synthesized peptide derived from internal of Human GAS41. |
| Target | YEATS4 |
| Purification | The antibody was affinity-purified from rabbit antiserum by affinity-chromatography using epitope-specific immunogen. |
Storage & Handling
−| Storage | Maintain refrigerated at 2-8°C for up to 2 weeks. For long term storage store at -20°C in small aliquots to prevent freeze-thaw cycles. |
|---|---|
| Form/Appearance | liquid |
| Buffer/Preservatives | Rabbit IgG in phosphate buffered saline (without Mg2+ and Ca2+), pH 7.4, 150mM NaCl, 0.02% sodium azide and 50% glycerol. |
| Disclaimer | For research use only |
Alternative Names
−Similar Products
−YEATS4 Rabbit Polyclonal Antibody [orb573587]
IHC, WB
Bovine, Canine, Equine, Guinea pig, Mouse, Rabbit, Rat, Sheep, Zebrafish
Human
Rabbit
Polyclonal
Unconjugated
100 μlGAS41 (YEATS4/NuBI-1) Antibody (N-term F2) [orb1932655]
WB
Mouse
Human
Rabbit
Polyclonal
Unconjugated
100 μl, 50 μlGAS41 (YEATS4/NuBI-1) Antibody (N-term A31) [orb1932592]
WB
Mouse
Human
Rabbit
Polyclonal
Unconjugated
400 μlYEATS4 Rabbit Polyclonal Antibody [orb573586]
WB
Bovine, Canine, Equine, Guinea pig, Mouse, Rabbit, Rat, Sheep, Zebrafish
Human
Rabbit
Polyclonal
Unconjugated
100 μl

Quality Guarantee
Explore bioreagents carefree to elevate your research. All our products are rigorously tested for performance. If a product does not perform as described on its datasheet, our scientific support team will provide expert troubleshooting, a prompt replacement, or a refund. For full details, please see our Terms & Conditions and Buying Guide. Contact us at [email protected].

Western blot analysis of mouse lung cells using YEATS4 antibody
Quick Database Links
UniProt Details
−Documents Download
Request a Document
Protocol Information
YEATS4 Antibody (orb683474)
Participating in our Biorbyt product reviews program enables you to support fellow scientists by sharing your firsthand experience with our products.
Login to Submit a Review






