You have no items in your shopping cart.
ZAC polyclonal antibody
Description
Images & Validation
−
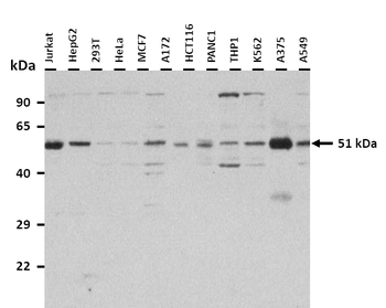
| Tested Applications | WB |
|---|---|
| Dilution range | WB: 1:500-1:1000, IHC-P: 1:50-1:200 |
| Reactivity | Human, Mouse, Rat |
Key Properties
−| Antibody Type | Primary Antibody |
|---|---|
| Host | Rabbit |
| Clonality | Polyclonal |
| Immunogen | Synthetic peptide, corresponding to Human ZAC. |
| Molecular Weight | ~ 51 kDa |
| Purification | The antibody was affinity-purified from rabbit antiserum by affinity-chromatography using epitope-specific immunogen and the purity is > 95% (by SDS-PAGE). |
| Conjugation | Unconjugated |
Storage & Handling
−| Storage | Maintain refrigerated at 2-8°C for up to 2 weeks. For long term storage store at -20°C in small aliquots to prevent freeze-thaw cycles. |
|---|---|
| Buffer/Preservatives | Rabbit IgG, 1mg/ml in PBS with 0.02% sodium azide, 50% glycerol, pH 7.2 |
| Concentration | 1 mg/ml |
| Disclaimer | For research use only |
Alternative Names
−Similar Products
−PLAGL1 Rabbit Polyclonal Antibody [orb592647]
WB
Bovine, Canine, Guinea pig, Mouse, Rabbit, Rat
Human
Rabbit
Polyclonal
Unconjugated
100 μlPLAGL1 Rabbit Polyclonal Antibody [orb158170]
IF, IHC-Fr, IHC-P
Canine, Human, Porcine, Rat, Zebrafish
Mouse
Rabbit
Polyclonal
Unconjugated
50 μl, 100 μl, 200 μlLGICZ1 Rabbit Polyclonal Antibody [orb184909]
ELISA, ICC, IF, IHC-Fr, IHC-P
Human
Human
Rabbit
Polyclonal
Unconjugated
50 μl, 100 μl, 200 μl

Quality Guarantee
Explore bioreagents carefree to elevate your research. All our products are rigorously tested for performance. If a product does not perform as described on its datasheet, our scientific support team will provide expert troubleshooting, a prompt replacement, or a refund. For full details, please see our Terms & Conditions and Buying Guide. Contact us at [email protected].
Quick Database Links
UniProt Details
−Documents Download
Request a Document
ZAC polyclonal antibody (orb670073)
Participating in our Biorbyt product reviews program enables you to support fellow scientists by sharing your firsthand experience with our products.
Login to Submit a Review






