You have no items in your shopping cart.
AAT rabbit pAb Antibody
Description
Images & Validation
−| Tested Applications | ELISA, IF, IHC, WB |
|---|---|
| Dilution Range | Western Blot: 1/500 - 1/2000. IHC-p: 1:100-300 ELISA: 1/40000. Not yet tested in other applications. |
| Reactivity | Human, Mouse, Rat |
Key Properties
−| Clonality | Polyclonal |
|---|---|
| Isotype | IgG |
| Immunogen | Synthesized peptide derived from AAT . at AA range: 240-320 |
| Molecular Weight | 46 |
| Purification | The antibody was affinity-purified from rabbit antiserum by affinity-chromatography using epitope-specific immunogen. |
| Conjugation | Unconjugated |
Storage & Handling
−| Storage | Maintain refrigerated at 2-8°C for up to 2 weeks. For long term storage store at -20°C in small aliquots to prevent freeze-thaw cycles. |
|---|---|
| Buffer/Preservatives | PBS with 0.02% sodium azide and 50% glycerol pH 7.4. |
| Concentration | 1 mg/ml |
| Expiration Date | 12 months from date of receipt. |
| Disclaimer | For research use only |
Alternative Names
−Similar Products
−AAT rabbit pAb Antibody [orb767166]
ELISA, IF, IHC, WB
Human, Mouse, Rat
Polyclonal
Unconjugated
100 μl, 50 μlTGF beta Receptor I Rabbit pAb, BF700 conjugated [orb2853274]
FC, IF
Bovine, Human
Mouse, Rat
Rabbit
Polyclonal
BF700
100 μlTGF beta Receptor I Rabbit pAb, IRDye 800CW conjugated [orb2853275]
WB
Bovine, Human
Mouse, Rat
Rabbit
Polyclonal
IRDye800
100 μlTGF beta Receptor II Rabbit pAb, PerCP-Cy7 conjugated [orb2853589]
IF
Bovine, Equine, Gallus, Porcine, Rabbit, Sheep
Human, Mouse, Rat
Rabbit
Polyclonal
PerCP/Cy7
100 μlTGF beta Receptor II Rabbit pAb, Pacific Blue conjugated [orb2853590]
IF
Bovine, Equine, Gallus, Porcine, Rabbit, Sheep
Human, Mouse, Rat
Rabbit
Polyclonal
Pacific Blue
100 μl

Quality Guarantee
Explore bioreagents carefree to elevate your research. All our products are rigorously tested for performance. If a product does not perform as described on its datasheet, our scientific support team will provide expert troubleshooting, a prompt replacement, or a refund. For full details, please see our Terms & Conditions and Buying Guide. Contact us at [email protected].

Western Blot analysis of extracts from K562 cells, using AAT Polyclonal Antibody. Secondary antibody was diluted at 1:20000.

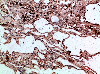
Immunohistochemical analysis of paraffin-embedded human-colon, antibody was diluted at 1:100.

Immunohistochemical analysis of paraffin-embedded human-brain, antibody was diluted at 1:100.

Immunohistochemical analysis of paraffin-embedded Human Brain. 1, Antibody was diluted at 1:200 (4°C overnight). 2, High-pressure and temperature EDTA, pH8.0 was used for antigen retrieval. 3, Secondary antibody was diluted at 1:200 (room temperature, 30min).
Quick Database Links
UniProt Details
−Documents Download
Request a Document
Protocol Information
AAT rabbit pAb Antibody (orb766661)
Participating in our Biorbyt product reviews program enables you to support fellow scientists by sharing your firsthand experience with our products.
Login to Submit a Review


