You have no items in your shopping cart.
Bcl-2-like protein 2 Bcl2L2 Rabbit Polyclonal Antibody
Description
Research Area
Images & Validation
−| Tested Applications | FC, ICC, IHC, WB |
|---|---|
| Dilution Range | Immunohistochemistry (Paraffin-embedded Section), 0.5-1μg/ml, Human, Rat, Mouse Western blot, 0.1-0.5μg/ml, Human, Rat, Mouse Immunohistochemistry (Frozen Section), 0.5-1μg/ml, Human Immunocytochemistry, 0.5-1μg/ml, Human Flow Cytometry (Fixed), 1-3μg/1x10^6 cells, Human |
| Reactivity | Human, Mouse, Rat |
Key Properties
−| Antibody Type | Primary Antibody |
|---|---|
| Host | Rabbit |
| Clonality | Polyclonal |
| Isotype | Rabbit IgG |
| Immunogen | A synthetic peptide corresponding to a sequence in the middle region of human BCL2L2, identical to the related rat and mouse sequences. |
| Target | Bcl-2-like protein 2 |
| Molecular Weight | 21 kDa |
| Purification | Immunogen affinity purified. |
| Conjugation | Unconjugated |
Storage & Handling
−| Storage | Maintain refrigerated at 2-8°C for up to 2 weeks. For long term storage store at -20°C in small aliquots to prevent freeze-thaw cycles. |
|---|---|
| Form/Appearance | Lyophilized |
| Buffer/Preservatives | Each vial contains 5mg rAlbumin, 0.9mg NaCl, 0.2mg Na2HPO4, 0.05mg Thimerosal, 0.05mg NaN3. |
| Concentration | Adding 0.2 ml of distilled water will yield a concentration of 500 μg/ml. |
| Expiration Date | 12 months from date of receipt. |
| Disclaimer | For research use only |
Alternative Names
−Similar Products
−Bcl-w rabbit pAb Antibody [orb764635]
ELISA, IF, IHC, WB
Human, Mouse, Rat
Polyclonal
Unconjugated
100 μl, 50 μlBcl2L2 Rabbit Polyclonal Antibody [orb100689]
IF, IHC-Fr, IHC-P
Canine, Equine, Human, Porcine, Rabbit, Rat
Mouse
Rabbit
Polyclonal
Unconjugated
100 μl, 50 μl, 200 μlBCL2L2 Antibody [orb670579]
ELISA, IF, IHC, WB
Human, Mouse, Rat
Rabbit
Polyclonal
Unconjugated
50 μg, 100 μgBcl-w Polyclonal Antibody [orb1414567]
IF, IHC-P, WB
Human, Mouse, Rat
Rabbit
Polyclonal
Unconjugated
100 μl

Quality Guarantee
Explore bioreagents carefree to elevate your research. All our products are rigorously tested for performance. If a product does not perform as described on its datasheet, our scientific support team will provide expert troubleshooting, a prompt replacement, or a refund. For full details, please see our Terms & Conditions and Buying Guide. Contact us at [email protected].

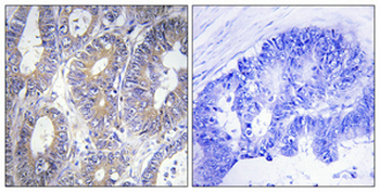
IHC analysis of BCL2L2 using anti-BCL2L2 antibody.BCL2L2 was detected in paraffin-embedded section of human rectal cancer tissues.

Western blot analysis of Bcl2L2 using anti-Bcl2L2 antibody.

Flow Cytometry analysis of PC-3 cells using anti-BCL2L2 antibody(Blue line).Isotype control antibody(Green line) was rabbit IgG.Unlabelled sample(Red line) was also used as a control.
Quick Database Links
UniProt Details
−Documents Download
Request a Document
Protocol Information
Bcl-2-like protein 2 Bcl2L2 Rabbit Polyclonal Antibody (orb137852)
Participating in our Biorbyt product reviews program enables you to support fellow scientists by sharing your firsthand experience with our products.
Login to Submit a Review








