You have no items in your shopping cart.
CD142 Antibody
Description
Research Area
Images & Validation
−| Tested Applications | FC, ICC, IHC-P, WB |
|---|---|
| Reactivity | Human |
| Application Notes |
Key Properties
−| Antibody Type | Primary Antibody |
|---|---|
| Clonality | Monoclonal |
| Isotype | Mouse IgG1 kappa |
| Clone No. | HTF-1 |
| Immunogen | Human brain tissue factor (CD142) |
| Target | CD142 |
| Purification | Purified by protein-A affinity chromatography. |
| Conjugation | Unconjugated |
Storage & Handling
−| Storage | Maintain refrigerated at 2-8°C for up to 2 weeks. For long term storage store at -20°C in small aliquots to prevent freeze-thaw cycles. |
|---|---|
| Buffer/Preservatives | Phosphate buffered saline (PBS), pH 7.4, 15 mM sodium azide |
| Concentration | 1 mg/ml |
| Disclaimer | For research use only |
Alternative Names
−Similar Products
−Tissue factor Recombinant Rabbit Monoclonal Antibody [orb704330]
ICC, IF, IHC-Fr, IHC-P, WB
Mouse, Rat
Human, Mouse, Rat
Rabbit
Recombinant
Unconjugated
50 μl, 100 μlTissue Factor/CD142 extracellular Antibody [orb1294263]
IF, IHC, WB
Human
Rabbit
Polyclonal
Unconjugated
25 μl, 100 μlTissue Factor/F3 Antibody [orb316564]
ELISA, FC, ICC, IF, IHC, WB
Human
Rabbit
Polyclonal
Unconjugated
100 μg

Quality Guarantee
Explore bioreagents carefree to elevate your research. All our products are rigorously tested for performance. If a product does not perform as described on its datasheet, our scientific support team will provide expert troubleshooting, a prompt replacement, or a refund. For full details, please see our Terms & Conditions and Buying Guide. Contact us at [email protected].

Flow cytometry multicolor surface staining pattern of human PHA stimulated peripheral blood mononuclear cells using anti-human CD142 (HTF-1) purified antibody (concentration in sample 4 μg/ml, GAM APC) and SYTO 16.

Separation of human CD142 positive lymphocytes (red-filled) from CD142 negative lymphocytes (black-dashed) in flow cytometry analysis (surface staining) of human PHA stimulated peripheral blood mononuclear cells stained using anti-human CD142 (HTF-1) purified antibody (concentration in sample 4 μg/ml, GAM APC).

Flow cytometry surface staining pattern of human PHA stimulated peripheral blood mononuclear cells stained using anti-human CD142 (HTF-1) purified antibody (concentration in sample 4 μg/ml, GAM APC).

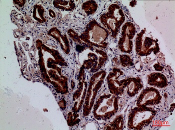
Immunohistochemistry staining of human cortex (paraffin-embedded sections) with anti-CD142 (HTF-1), 10 μg/ml.

Western blotting analysis of human CD142 using mouse monoclonal antibody HTF-1 on lysates of A431 cell line and MCF7 and THP1 cell lines (negative controls) under reducing and non-reducing conditions. Nitrocellulose membrane was probed with 2 µg/ml of mouse anti-CD142 monoclonal antibody followed by IRDye800-conjugated anti-mouse secondary antibody. CD142 was detected around 50 kDa.
Documents Download
Request a Document
Protocol Information
CD142 Antibody (orb402784)
Participating in our Biorbyt product reviews program enables you to support fellow scientists by sharing your firsthand experience with our products.
Login to Submit a ReviewFilter by Rating
- 5 stars
- 4 stars
- 3 stars
- 2 stars
- 1 stars
Filter by Applications
Filter by Species
It is a good cell-surface blocking antibody(HTF1). I used it in one-stage and two-stage clotting assays with the conc. of 10 ug/ml in Human endothelial cells.



































