You have no items in your shopping cart.
SDHC Rabbit Polyclonal Antibody
Description
Research Area
Images & Validation
−| Tested Applications | IHC, WB |
|---|---|
| Dilution Range | Immunohistochemistry (Paraffin-embedded Section), 0.5-1μg/ml, Human, Rat, Mouse Western blot, 0.1-0.5μg/ml, Human, Mouse, Rat |
| Reactivity | Human, Mouse, Rat |
Key Properties
−| Antibody Type | Primary Antibody |
|---|---|
| Host | Rabbit |
| Clonality | Polyclonal |
| Isotype | Rabbit IgG |
| Immunogen | A synthetic peptide corresponding to a sequence at the N-terminus of human SDHC, different from the related mouse and rat sequences by three amino acids. |
| Target | Succinate dehydrogenase cytochrome b560 subunit, mitochondrial |
| Molecular Weight | 19 kDa |
| Purification | Immunogen affinity purified. |
| Conjugation | Unconjugated |
Storage & Handling
−| Storage | Maintain refrigerated at 2-8°C for up to 2 weeks. For long term storage store at -20°C in small aliquots to prevent freeze-thaw cycles. |
|---|---|
| Form/Appearance | Lyophilized |
| Buffer/Preservatives | Each vial contains antibody formulated with stabilizing components, 0.9mg NaCl, 0.2mg Na2HPO4, 0.05mg Thimerosal, 0.05mg NaN3. *This antibody is supplied in a stabilized formulation. Compatibility with conjugation reactions depends on the chemistry of the conjugation method used. For conjugation methods that are not compatible with the stabilizing components present in this formulation, a carrier-free antibody format is required. |
| Concentration | Adding 0.2 ml of distilled water will yield a concentration of 500 μg/ml. |
| Expiration Date | 12 months from date of receipt. |
| Disclaimer | For research use only |
Alternative Names
−Similar Products
−SDHC Rabbit Polyclonal Antibody [orb631032]
ELISA, IHC, WB
Human, Mouse, Rat
Rabbit
Polyclonal
Unconjugated
50 μg, 100 μgSDHC Rabbit Polyclonal Antibody [orb1149]
ELISA, WB
Human
Human
Rabbit
Polyclonal
Unconjugated
50 μl, 100 μl, 200 μl

Quality Guarantee
Explore bioreagents carefree to elevate your research. All our products are rigorously tested for performance. If a product does not perform as described on its datasheet, our scientific support team will provide expert troubleshooting, a prompt replacement, or a refund. For full details, please see our Terms & Conditions and Buying Guide. Contact us at [email protected].

Western blot analysis of Lane 1: Rat Liver Tissue Lysate, Lane 2: HELA Cell Lysate, Lane 3: JURKAT Cell Lysate using SDHC antibody

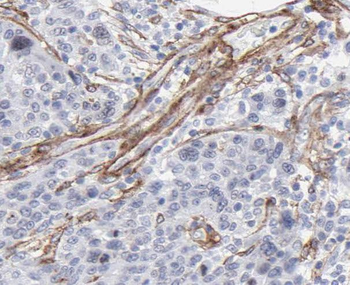
Immunohistochemical analysis of formalin-fixed paraffin embedded Rat Gaster Tissue using SDHC antibody

Immunohistochemical a
Quick Database Links
UniProt Details
−Documents Download
Request a Document
Protocol Information
SDHC Rabbit Polyclonal Antibody (orb76352)
Participating in our Biorbyt product reviews program enables you to support fellow scientists by sharing your firsthand experience with our products.
Login to Submit a Review






