You have no items in your shopping cart.
APEX1 Antibody
Description
Research Area
Images & Validation
−| Tested Applications | ChIP, ELISA, IHC, WB |
|---|---|
| Dilution range | WB:1:1000-5000, IHC-P:1:20-200 |
| Reactivity | Human, Mouse |
Key Properties
−| Host | Rabbit |
|---|---|
| Clonality | Polyclonal |
| Isotype | IgG |
| Immunogen | Recombinant Human DNA-(apurinic or apyrimidinic site) lyase protein (32-318AA) |
| Target | APEX1 |
| Purification | >95%, Protein G purified |
| Conjugation | Unconjugated |
Storage & Handling
−| Storage | Maintain refrigerated at 2-8°C for up to 2 weeks. For long term storage store at -20°C in small aliquots to prevent freeze-thaw cycles. |
|---|---|
| Form/Appearance | Liquid |
| Buffer/Preservatives | Preservative: 0.03% Proclin 300. Constituents: 50% Glycerol |
| Disclaimer | For research use only |
Alternative Names
−Similar Products
−APE1/APEX1 Antibody [orb215883]
FC, ICC, IF, IHC, WB
Human, Mouse, Rat
Rabbit
Polyclonal
Unconjugated
100 μgRef-1 rabbit pAb Antibody [orb766212]
ELISA, IF, IHC, WB
Human, Mouse, Rat
Polyclonal
Unconjugated
100 μl, 50 μlRef-1 (Acetyl Lys6) rabbit pAb Antibody [orb763972]
ELISA, IF, IHC, WB
Human, Mouse, Rat
Polyclonal
Unconjugated
100 μlRef-1 (Acetyl Lys7) rabbit pAb Antibody [orb763973]
IHC, WB
Human, Mouse, Rat
Polyclonal
Unconjugated
100 μl, 50 μl

Quality Guarantee
Explore bioreagents carefree to elevate your research. All our products are rigorously tested for performance. If a product does not perform as described on its datasheet, our scientific support team will provide expert troubleshooting, a prompt replacement, or a refund. For full details, please see our Terms & Conditions and Buying Guide. Contact us at [email protected].

Western blot analysis of Hela whole cell(Lane 1), Mouse brain tissue(Lane 2), MCF-7(Lane 3), HepG2(Lane 4), Raji(Lane 5), A549(Lane 6), K562 whole cell lysate(Lane 7), Mouse liver tissue(Lane 8), NIH3T3(Lane 9) whole cell lysate using DNA-(apurinic or apy

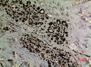
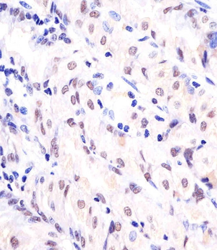
Immunohistochemical staining of Human testis using DNA-(apurinic or apyrimidinic site) lyase antibody

Immunohistochemical staining of human tonsil using DNA-(apurinic or apyrimidinic site) lyase antibody

Immunoprecipitation analysis of using DNA-(apurinic or apyrimidinic site) lyase antibody

Immunohistochemical staining of human lungs tissue using DNA-(apurinic or apyrimidinic site) lyase antibody
Quick Database Links
UniProt Details
−Documents Download
Request a Document
Protocol Information
APEX1 Antibody (orb239171)
Participating in our Biorbyt product reviews program enables you to support fellow scientists by sharing your firsthand experience with our products.
Login to Submit a Review






















