You have no items in your shopping cart.
CD276 Antibody
Description
Research Area
Images & Validation
−| Tested Applications | ELISA, FC, ICC, IF, IHC-P, WB |
|---|---|
| Reactivity | Human |
| Application Notes |
Key Properties
−| Antibody Type | Primary Antibody |
|---|---|
| Host | Mouse |
| Clonality | Monoclonal |
| Isotype | IgG1,k |
| Clone No. | 4H3 |
| Immunogen | B7-H3 antibody was raised against the extracellular domain of human B7-H3 |
| Target | CD276 |
| Molecular Weight | Predicted: 57 kDa Observed: 100 kDa |
| Purification | B7-H3 Antibody is supplied as protein A purified IgG1. |
| Conjugation | Unconjugated |
Storage & Handling
−| Storage | Maintain refrigerated at 2-8°C for up to 2 weeks. For long term storage store at -20°C in small aliquots to prevent freeze-thaw cycles. |
|---|---|
| Form/Appearance | Liquid |
| Buffer/Preservatives | B7-H3 Antibody is supplied in PBS containing 0.02% sodium azide and 50% glycerol. |
| Concentration | 1 mg/mL |
| Expiration Date | 12 months from date of receipt. |
| Disclaimer | For research use only |
Alternative Names
−Similar Products
−CD276 Antibody (C-term) [orb1937195]
FC, IF, IHC-P, WB
Human, Mouse, Rat
Rabbit
Polyclonal
Unconjugated
100 μl, 50 μlCD276 Antibody [orb1239243]
ELISA, FC, ICC, IF, IHC-P, WB
Human
Mouse
Monoclonal
Unconjugated
0.1 mg, 0.02 mgCD276 rabbit pAb Antibody [orb766890]
ELISA, IF, IHC, WB
Human, Mouse, Rat
Polyclonal
Unconjugated
100 μlCD276 Antibody [orb1410558]
IHC
Human
Mouse
Monoclonal
Unconjugated
20 μg, 100 μg, 100 μg (without BSA and Azide)

Quality Guarantee
Explore bioreagents carefree to elevate your research. All our products are rigorously tested for performance. If a product does not perform as described on its datasheet, our scientific support team will provide expert troubleshooting, a prompt replacement, or a refund. For full details, please see our Terms & Conditions and Buying Guide. Contact us at [email protected].

Western blot analysis of B7-H3 in HEK293 cells using B7-H3 antibody at (A) 0.25 (B) 0.5 and (C) 1 μg/ml.

Immunocytochemistry of B7-H3 in HEK293 cells using B7-H3 antibody and control mouse IgG antibody (left corner box) at 1 μg/ml.

Immunofluorescence of B7-H3 in HEK293 cells using B7-H3 Antibody at 5 μg/ml. Green: B7-H3 Antibody [4H3] (orb1239244) Blue: DAPI staining

Immunofluorescence of B7-H3 in human colon carcinoma tissue cells using B7-H3 Antibody at 10 μg/ml. Green: B7-H3 Antibody [4H3] (orb1239244) Blue: DAPI staining

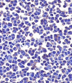
Immunohistochemistry of B7-H3 in human colon carcinoma tissue using B7-H3 Antibody and control mouse IgG (corner box) at 2 μg/ml.

Flow cytometry analysis of B7-H3 in HEK293 cells using B7-H3 antibody at 1 μg/ml. Blue: untransfected HEK293 cells. Yellow: B7-H3 over expressing HEK293 cells.

Titration curve analysis of B7-H3 mAbs to detect recombinant B7-H3 in ELISA with orb1240155, orb1239243, orb1239244, orb1239247, and orb1239231 antibodies at decreasing concentrations.
Quick Database Links
UniProt Details
−NCBI Reference Sequences
−| Protein | NP_001019907 |
|---|
Documents Download
Request a Document
Protocol Information
CD276 Antibody (orb1239244)
Participating in our Biorbyt product reviews program enables you to support fellow scientists by sharing your firsthand experience with our products.
Login to Submit a Review






















