You have no items in your shopping cart.
BCAP31 Antibody
Description
Images & Validation
−| Tested Applications | ELISA, IF, IHC, IP, WB |
|---|---|
| Dilution range | WB:1:1000-1:5000, IHC-P:1:1000-1:2000, IF:1:200-1:500, IP:1:200-1:2000 |
| Reactivity | Human, Mouse, Rat |
Key Properties
−| Host | Rabbit |
|---|---|
| Clonality | Polyclonal |
| Isotype | IgG |
| Immunogen | Recombinant Human B-cell receptor-associated protein 31 protein (2-243AA) |
| Target | BCAP31 |
| Purification | >95%, Protein G purified |
| Conjugation | Unconjugated |
Storage & Handling
−| Storage | Maintain refrigerated at 2-8°C for up to 2 weeks. For long term storage store at -20°C in small aliquots to prevent freeze-thaw cycles. |
|---|---|
| Form/Appearance | Liquid |
| Buffer/Preservatives | Preservative: 0.03% Proclin 300. Constituents: 50% Glycerol |
| Disclaimer | For research use only |
Alternative Names
−Similar Products
−BCAP31/BAP31 Antibody [orb18658]
ELISA, IHC, WB
Bovine, Canine, Porcine
Human
Goat
Polyclonal
Unconjugated
100 μgBCAP31 Rabbit Polyclonal Antibody [orb579837]
WB
Bovine, Canine, Equine, Guinea pig, Rabbit, Rat, Zebrafish
Human, Mouse
Rabbit
Polyclonal
Unconjugated
100 μlBCAP31 Antibody [orb625053]
ELISA, FC, IF, IHC, IP, WB
Human, Mouse, Rat
Rabbit
Polyclonal
Unconjugated
100 μg, 50 μgBCAP31 Antibody [orb1239064]
ELISA, IHC-P, WB
Human, Mouse, Rat
Rabbit
Polyclonal
Unconjugated
0.1 mg, 0.02 mg

Quality Guarantee
Explore bioreagents carefree to elevate your research. All our products are rigorously tested for performance. If a product does not perform as described on its datasheet, our scientific support team will provide expert troubleshooting, a prompt replacement, or a refund. For full details, please see our Terms & Conditions and Buying Guide. Contact us at [email protected].

Western blot analysis of (Lane 1): EC109 whole cell lysate(Lane 2): 293T whole cell lysate using B-cell R-associated protein 31 antibody

Immunoprecipitation analysis of Mouse liver whole cell lysate using B-cell R-associated protein 31 antibody

Immunofluorescence analysis of Hela cells using B-cell R-associated protein 31 antibody

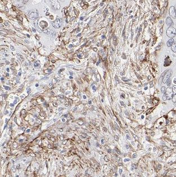
Immunohistochemical staining of human proste cancer using B-cell R-associated protein 31 antibody

Immunohistochemical staining of human colon cancer using B-cell R-associated protein 31 antibody
Quick Database Links
UniProt Details
−Documents Download
Request a Document
Protocol Information
BCAP31 Antibody (orb242366)
Participating in our Biorbyt product reviews program enables you to support fellow scientists by sharing your firsthand experience with our products.
Login to Submit a Review
















