You have no items in your shopping cart.
CASP10 Antibody
Description
Images & Validation
−| Tested Applications | ELISA, IF, IHC, WB |
|---|---|
| Dilution range | WB: 1: 500-1: 3000, IHC-P: 1: 50-1: 100, IF: 1: 100-1: 500 |
| Reactivity | Human |
Key Properties
−| Host | Rabbit |
|---|---|
| Clonality | Polyclonal |
| Isotype | IgG |
| Immunogen | Synthesized peptide derived from Human Caspase 10. |
| Target | CASP10 |
| Purification | The antibody was affinity-purified from rabbit antiserum by affinity-chromatography using epitope-specific immunogen. |
| Conjugation | Unconjugated |
Storage & Handling
−| Storage | Maintain refrigerated at 2-8°C for up to 2 weeks. For long term storage store at -20°C in small aliquots to prevent freeze-thaw cycles. |
|---|---|
| Form/Appearance | liquid |
| Buffer/Preservatives | Rabbit IgG in phosphate buffered saline (without Mg2+ and Ca2+), pH 7.4, 150mM NaCl, 0.02% sodium azide and 50% glycerol. |
| Disclaimer | For research use only |
Alternative Names
−Similar Products
−Caspase-10 Rabbit Polyclonal Antibody [orb10233]
FC, IF, IHC-Fr, IHC-P
Human
Rabbit
Polyclonal
Unconjugated
100 μl, 50 μl, 200 μlCaspase-10 Rabbit Polyclonal Antibody [orb526502]
IF, IHC-Fr, IHC-P, WB
Human
Rabbit
Polyclonal
Unconjugated
100 μl, 200 μl, 50 μlG3BP Rabbit Monoclonal Antibody [orb866325]
FC, ICC, IF, IHC, IP, WB
Human, Mouse, Rat
Rabbit
Monoclonal
Unconjugated

Quality Guarantee
Explore bioreagents carefree to elevate your research. All our products are rigorously tested for performance. If a product does not perform as described on its datasheet, our scientific support team will provide expert troubleshooting, a prompt replacement, or a refund. For full details, please see our Terms & Conditions and Buying Guide. Contact us at [email protected].

Western blot analysis of HeLa cells (Lane 2) using CASP10 antibody

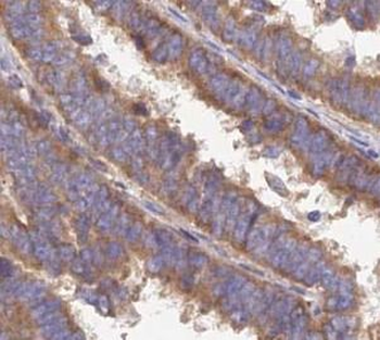
Immunohistochemical staining of human lung carcinoma tissue using CASP10 antibody

Immunofluorescence analysis of HeLa cells using CASP10 antibody

Western blot analysis of HeLa cells using CASP10 antibody
Quick Database Links
UniProt Details
−Documents Download
Request a Document
Protocol Information
CASP10 Antibody (orb685577)
Participating in our Biorbyt product reviews program enables you to support fellow scientists by sharing your firsthand experience with our products.
Login to Submit a Review












