You have no items in your shopping cart.
CCAR2 Antibody
Description
Research Area
Images & Validation
−| Tested Applications | IF, IHC, WB |
|---|---|
| Reactivity | Human, Mouse, Rat |
| Application Notes |
Key Properties
−| Antibody Type | Primary Antibody |
|---|---|
| Host | Rabbit |
| Clonality | Polyclonal |
| Isotype | IgG |
| Immunogen | Recombinant fusion protein containing a sequence corresponding to amino acids 654-923 of human CCAR2 (NP_066997.3). |
| Target | CCAR2 |
| Molecular Weight | Observed: 100kDa |
| Purification | Affinity purification |
| Conjugation | Unconjugated |
Storage & Handling
−| Storage | Maintain refrigerated at 2-8°C for up to 2 weeks. For long term storage store at -20°C in small aliquots to prevent freeze-thaw cycles. |
|---|---|
| Form/Appearance | Liquid |
| Buffer/Preservatives | PBS with 0.02% sodium azide, 50% glycerol, pH 7.3. |
| Concentration | batch dependent |
| Expiration Date | 12 months from date of receipt. |
| Disclaimer | For research use only |
Alternative Names
−Similar Products
−DBC-1/CCAR2/DBC Rabbit Polyclonal Antibody [orb763158]
ELISA, FC, ICC, IF, IHC, WB
Human, Monkey, Mouse, Rat
Rabbit
Polyclonal
Unconjugated
100 μgCCAR2/DBC1 (aa842-855) Antibody [orb198491]
ELISA, WB
Bovine, Canine, Porcine, Rat
Human, Mouse
Goat
Polyclonal
Unconjugated
100 μgCCAR2 Rabbit Polyclonal Antibody [orb625481]
ELISA, IF, IHC, WB
Human, Mouse, Rat
Rabbit
Polyclonal
Unconjugated
50 μg, 100 μgCCAR2 Antibody [orb2312442]
FC, IHC
Human
Mouse
Monoclonal
Unconjugated
100 μg, 20 μg, 100 μg (without BSA and Azide)

Quality Guarantee
Explore bioreagents carefree to elevate your research. All our products are rigorously tested for performance. If a product does not perform as described on its datasheet, our scientific support team will provide expert troubleshooting, a prompt replacement, or a refund. For full details, please see our Terms & Conditions and Buying Guide. Contact us at [email protected].

Western blot analysis of extracts of various cell lines, using CCAR2 antibody (orb1256573) at 1:1000 dilution. Secondary antibody: HRP Goat Anti-Rabbit IgG (H+L) at 1:10000 dilution. Lysates/proteins: 25 ug per lane. Blocking buffer: 3% nonfat dry milk in TBST. Detection: ECL Basic Kit. Exposure time: 30s.

Immunohistochemistry of paraffin-embedded rat brain using CCAR2 antibody (orb1256573) at dilution of 1:100 (40x lens).

Immunohistochemistry of paraffin-embedded rat kidney using CCAR2 antibody (orb1256573) at dilution of 1:100 (40x lens).

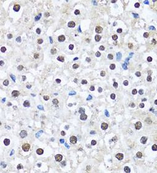
Immunohistochemistry of paraffin-embedded human rectal cancer using CCAR2 antibody (orb1256573) at dilution of 1:100 (40x lens).

Immunohistochemistry of paraffin-embedded mouse liver using CCAR2 antibody (orb1256573) at dilution of 1:100 (40x lens).

Immunohistochemistry of paraffin-embedded mouse brain using CCAR2 antibody (orb1256573) at dilution of 1:100 (40x lens).

Immunohistochemistry of paraffin-embedded mouse kidney using CCAR2 antibody (orb1256573) at dilution of 1:100 (40x lens).

Immunohistochemistry of paraffin-embedded mouse stomach using CCAR2 antibody (orb1256573) at dilution of 1:100 (40x lens).

Immunofluorescence analysis of U2OS cells using CCAR2 antibody (orb1256573). Blue: DAPI for nuclear staining.
Quick Database Links
UniProt Details
−Documents Download
Request a Document
Protocol Information
CCAR2 Antibody (orb1256573)
Participating in our Biorbyt product reviews program enables you to support fellow scientists by sharing your firsthand experience with our products.
Login to Submit a Review
















