You have no items in your shopping cart.
Description
Research Area
Images & Validation
−| Tested Applications | ELISA, IF, IHC, WB |
|---|---|
| Dilution Range | Western Blot: 1/500 - 1/2000. IHC-p: 1/100-1/300. ELISA: 1/20000. Not yet tested in other applications. |
| Reactivity | Human, Mouse, Rat |
Key Properties
−| Clonality | Polyclonal |
|---|---|
| Isotype | IgG |
| Immunogen | The antiserum was produced against synthesized peptide derived from the Internal region of human MME. AA range:491-540 |
| Molecular Weight | 85 |
| Purification | The antibody was affinity-purified from rabbit antiserum by affinity-chromatography using epitope-specific immunogen. |
| Conjugation | Unconjugated |
Storage & Handling
−| Storage | Maintain refrigerated at 2-8°C for up to 2 weeks. For long term storage store at -20°C in small aliquots to prevent freeze-thaw cycles. |
|---|---|
| Buffer/Preservatives | PBS with 0.02% sodium azide and 50% glycerol pH 7.4. |
| Concentration | 1 mg/ml |
| Expiration Date | 12 months from date of receipt. |
| Disclaimer | For research use only |
Alternative Names
−Similar Products
−MME Antibody (Center) [orb1788354]
IHC, WB
Human, Mouse, Rat
Rabbit
Polyclonal
Unconjugated
MME Antibody (N-term) [orb1788476]
IHC-P, WB
Mouse, Rabbit, Rat
Human
Rabbit
Polyclonal
Unconjugated
MME Antibody (Center) [orb1788158]
WB
Rabbit
Human
Rabbit
Polyclonal
Unconjugated
MME Antibody (N-term) [orb1788471]
WB
Human, Mouse, Rat
Rabbit
Polyclonal
Unconjugated

Quality Guarantee
Explore bioreagents carefree to elevate your research. All our products are rigorously tested for performance. If a product does not perform as described on its datasheet, our scientific support team will provide expert troubleshooting, a prompt replacement, or a refund. For full details, please see our Terms & Conditions and Buying Guide. Contact us at [email protected].

Western Blot analysis of A549 cells using CD10 Polyclonal Antibody. Secondary antibody was diluted at 1:20000.

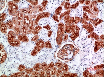
Immunohistochemical analysis of paraffin-embedded human-kidney, antibody was diluted at 1:100.

Immunohistochemical analysis of paraffin-embedded human-brain, antibody was diluted at 1:100.

Western blot analysis of lysate from A549 cells, using MME Antibody.
Quick Database Links
UniProt Details
−Documents Download
Request a Document
Protocol Information
CD10 rabbit pAb Antibody (orb766955)
Participating in our Biorbyt product reviews program enables you to support fellow scientists by sharing your firsthand experience with our products.
Login to Submit a Review







