You have no items in your shopping cart.
ENTPD1 Antibody
Description
Research Area
Images & Validation
−| Tested Applications | IHC |
|---|---|
| Reactivity | Human |
Key Properties
−| Host | Mouse |
|---|---|
| Clonality | Monoclonal |
| Isotype | IgG1 |
| Clone No. | CD39/6860 |
| Immunogen | Recombinant full-length human CD39 protein |
| Target | ENTPD1 |
| Source/Expression System | Bioreactor |
| Molecular Weight | 70-100 kDa |
| Purification | Protein G |
| Conjugation | Unconjugated |
Storage & Handling
−| Storage | Maintain refrigerated at 2-8°C for up to 2 weeks. For long term storage store at -20°C in small aliquots to prevent freeze-thaw cycles. |
|---|---|
| Form/Appearance | 200ug/ml of Ab purified from Bioreactor Concentrate by Protein A/G. Prepared in 10mM PBS with 0.05% rAlbumin & 0.05% azide. Also available WITHOUT rAlbumin & azide at 1.0mg/ml. |
| Disclaimer | For research use only |
Alternative Names
−Similar Products
−CD39/ENTPD1 Recombinant Rabbit Monoclonal Antibody [orb1610338]
IF, IHC-Fr, IHC-P
Human
Rabbit
Recombinant
Unconjugated
25 μl, 50 μl, 100 μlHuman Ectonucleoside Triphosphate Diphosphohydrolase 1 (ENTPD1) ELISA Kit [orb779011]
Human
0.16-10 ng/mL
0.059 ng/mL
96 T, 48 TENTPD1/CD39 Rabbit Polyclonal Antibody [orb156309]
ELISA, ICC, IF, IHC-Fr, IHC-P, WB
Bovine, Mouse, Porcine, Rat, Sheep
Human
Rabbit
Polyclonal
Unconjugated
50 μl, 100 μl, 200 μlENTPD1 Antibody [orb625601]
ELISA, FC, IHC, IP, WB
Human, Mouse, Rat
Rabbit
Polyclonal
Unconjugated
100 μg, 50 μg

Quality Guarantee
Explore bioreagents carefree to elevate your research. All our products are rigorously tested for performance. If a product does not perform as described on its datasheet, our scientific support team will provide expert troubleshooting, a prompt replacement, or a refund. For full details, please see our Terms & Conditions and Buying Guide. Contact us at [email protected].

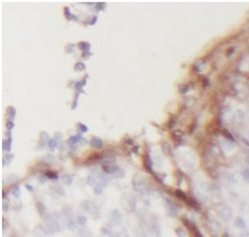
Formalin-fixed, paraffin-embedded human lymph node stained with CD39 Mouse Monoclonal Antibody (CD39/6860). Inset: PBS instead of primary antibody; secondary only negative control.

Formalin-fixed, paraffin-embedded human tonsil stained with CD39 Mouse Monoclonal Antibody (CD39/6860). HIER: Tris/EDTA, pH9.0, 45 min. 2°C: HRP-polymer, 30 min. DAB, 5 min.

SDS-PAGE Analysis of Purified CD39 Mouse Monoclonal Antibody (CD39/6860). Confirmation of Purity and Integrity of Antibody.
Quick Database Links
UniProt Details
−Documents Download
Request a Document
ENTPD1 Antibody (orb2310042)
Participating in our Biorbyt product reviews program enables you to support fellow scientists by sharing your firsthand experience with our products.
Login to Submit a Review




















