You have no items in your shopping cart.
CD5 Antibody
Description
Images & Validation
−| Tested Applications | IHC-P |
|---|---|
| Dilution range | Immunohistochemistry (FFPE): 1-2ug/ml |
| Reactivity | Human |
| Application Notes |
Key Properties
−| Antibody Type | Primary Antibody |
|---|---|
| Host | Rabbit |
| Clonality | Recombinant |
| Isotype | Rabbit IgG |
| Clone No. | C5/6438R |
| Immunogen | Recombinant full-length protein was used as the immunogen for the recombinant CD5 antibody. |
| Conjugation | Unconjugated |
Storage & Handling
−| Storage | Maintain refrigerated at 2-8°C for up to 2 weeks. For long term storage store at -20°C in small aliquots to prevent freeze-thaw cycles. |
|---|---|
| Disclaimer | For research use only |
Similar Products
−IDH2 Antibody (monoclonal, 2H4) [orb692220]
IHC, WB
Human, Mouse, Rat
Mouse
Monoclonal
Unconjugated
100 μgIDH2 Antibody (monoclonal, 6B13) [orb692221]
FC, ICC, IF, IHC, WB
Human, Mouse, Rat
Mouse
Monoclonal
Unconjugated
100 μgFilamin A/FLNA Antibody (monoclonal, 3F8) [orb692222]
IF, IHC, WB
Human
Mouse
Monoclonal
Unconjugated
100 μgCD5 Mouse Monoclonal Antibody [orb1595750]
FC, IF, IHC-Fr, IHC-P, WB
Mouse, Rat
Human
Mouse
Monoclonal
Unconjugated
50 μl, 100 μl, 200 μl

Quality Guarantee
Explore bioreagents carefree to elevate your research. All our products are rigorously tested for performance. If a product does not perform as described on its datasheet, our scientific support team will provide expert troubleshooting, a prompt replacement, or a refund. For full details, please see our Terms & Conditions and Buying Guide. Contact us at [email protected].

Western blot testing of human Jurkat cell lysate with CD5 antibody. Observed molecular weight: 55~67 kDa depending on glycosylation level.

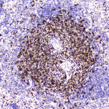
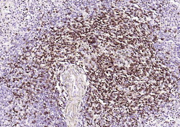
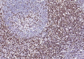
IHC staining of FFPE human tonsil tissue with recombinant CD5 antibody (clone C5/6438R). HIER: boil tissue sections in pH9 10mM Tris with 1mM EDTA for 20 min and allow to cool before testing.

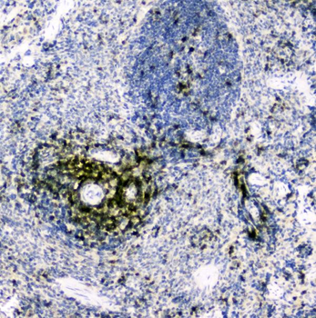
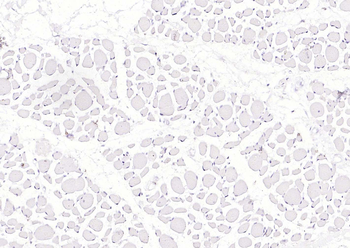
Negative control: IHC staining of FFPE human brain tissue using recombinant CD5 antibody (clone C5/6438R) at 2 ug/ml in PBS for 30 min RT. HIER: boil tissue sections in pH9 10mM Tris with 1mM EDTA for 20 min and allow to cool before testing.

SDS-PAGE analysis of purified, BSA-free recombinant CD5 antibody (clone C5/6438R) as confirmation of integrity and purity.
Quick Database Links
UniProt Details
−Documents Download
Request a Document
CD5 Antibody (orb1151511)
Participating in our Biorbyt product reviews program enables you to support fellow scientists by sharing your firsthand experience with our products.
Login to Submit a Review




































