You have no items in your shopping cart.
CDC34 Antibody
Description
Research Area
Images & Validation
−| Tested Applications | IHC-P, WB |
|---|---|
| Dilution range | Immunohistochemistry (FFPE): 0.5-1ug/ml for 30 min at RT,Western blot: 2-4ug/ml |
| Reactivity | Human |
| Application Notes |
Key Properties
−| Antibody Type | Primary Antibody |
|---|---|
| Host | Mouse |
| Clonality | Monoclonal |
| Isotype | Mouse IgG1, kappa |
| Clone No. | CPTC-CDC34-2 |
| Immunogen | A full length recombinant human protein was used as the immunogen for the CDC34 antibody. |
| Purification | Protein G affinity chromatography |
| Conjugation | Unconjugated |
Storage & Handling
−| Storage | Maintain refrigerated at 2-8°C for up to 2 weeks. For long term storage store at -20°C in small aliquots to prevent freeze-thaw cycles. |
|---|---|
| Disclaimer | For research use only |
Similar Products
−Cdc34 rabbit pAb Antibody [orb766794]
ELISA, IF, IHC, WB
Human, Mouse, Rat
Polyclonal
Unconjugated
100 μlCDC34 Antibody [orb625651]
ELISA, IHC, WB
Human, Mouse, Rat
Rabbit
Polyclonal
Unconjugated
50 μg, 100 μg

Quality Guarantee
Explore bioreagents carefree to elevate your research. All our products are rigorously tested for performance. If a product does not perform as described on its datasheet, our scientific support team will provide expert troubleshooting, a prompt replacement, or a refund. For full details, please see our Terms & Conditions and Buying Guide. Contact us at [email protected].

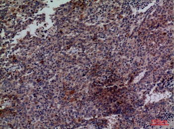
IHC staining of FFPE human breast carcinoma with CDC34 antibody (clone CPTC-CDC34-2). HIER: boil tissue sections in pH6, 10 mM citrate buffer, for 10-20 min followed by cooling at RT for 20 min.

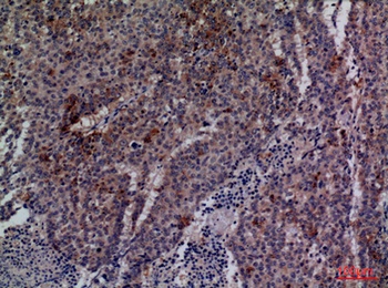
IHC staining of FFPE human breast carcinoma with CDC34 antibody (clone CPTC-CDC34-2). HIER: boil tissue sections in pH6, 10 mM citrate buffer, for 10-20 min followed by cooling at RT for 20 min.

Analysis of HuProt (TM) microarray containing more than 19000 full-length human proteins using CDC34 antibody (clone CPTC-CDC34-2). These results demonstrate the foremost specificity of the CPTC-CDC34-2 mAb. Z- and S- score: The Z-score represents the strength of a signal that an antibody (in combination with a fluorescently-tagged anti-IgG secondary Ab) produces when binding to a particular protein on the HuProt (TM) array. Z-scores are described in units of standard deviations (SD's) above the mean value of all signals generated on that array. If the targets on the HuProt (TM) are arranged in descending order of the Z-score, the S-score is the difference (also in units of SD's) between the Z-scores. The S-score therefore represents the relative target specificity of an Ab to its intended target.
Quick Database Links
UniProt Details
−Documents Download
Request a Document
Protocol Information
CDC34 Antibody (orb606881)
Participating in our Biorbyt product reviews program enables you to support fellow scientists by sharing your firsthand experience with our products.
Login to Submit a Review












